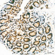
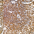
Anti-KHSRP antibody (1-180) [S9MR] (STJ11102419)

SKU:
STJ11102419
€161.88 - €718.13
Free Shipping
Processing The item has been added

Host: Rabbit
Applications: WB/IHC-P/IP/ELISA
Reactivity: Human/Mouse/Rat
Note: STRICTLY FOR FURTHER SCIENTIFIC RESEARCH USE ONLY (RUO). MUST NOT TO BE USED IN DIAGNOSTIC OR THERAPEUTIC APPLICATIONS.
Clonality : Monoclonal
Clone ID : S9MR
Conjugation: Unconjugated
Isotype: IgG
Formulation: PBS with 0.02% Sodium Azide, 0.05% BSA, 50% Glycerol, pH 7.3.
Purification: Affinity purification
Concentration: Lot specific
Dilution Range: WB:1:500-1:1000
IHC-P:1:50-1:200
IP:0.5 Mu g-4 Mu g antibody for 200 Mu g-400 Mu g extracts of whole cells
ELISA:Recommended starting concentration is 1 Mu g/mL. Please optimize the concentration based on your specific assay requirements.
Storage Instruction: Store at-20°C for up to 1 year from the date of receipt, and avoid repeat freeze-thaw cycles.
Gene Symbol: KHSRP
Gene ID: 8570
Uniprot ID: FUBP2_HUMAN
Immunogen Region: 1-180
Specificity: Recombinant fusion protein containing a sequence corresponding to amino acids 1-180 of human KHSRP (Q92945).
Immunogen Sequence: MSDYSTGGPPPGPPPPAGGG GGAGGAGGGPPPGPPGAGDR GGGGPGGGGPGGGSAGGPSQ PPGGGGPGIRKDAFADAVQR ARQIAAKIGGDAATTVNNST PDFGFGGQKRQLEDGDQPES KKLASQGDSISSQLGPIHPP PRTSMTEEYRVPDGMVGLII GRGGEQINKIQQDSGCKVQI
Tissue Specificity Detected in neural and non-neural cell lines.
Post Translational Modifications Phosphorylation at Ser-193 leads to the unfolding of the unstable KH domain 1, creating a site for 14-3-3 YWHAZ binding, which promotes nuclear localization and impairs the RNA degradation function.
Function Binds to the dendritic targeting element and may play a role in mRNA trafficking. Part of a ternary complex that binds to the downstream control sequence (DCS) of the pre-mRNA. Mediates exon inclusion in transcripts that are subject to tissue-specific alternative splicing. May interact with single-stranded DNA from the far-upstream element (FUSE). May activate gene expression. Also involved in degradation of inherently unstable mRNAs that contain AU-rich elements (AREs) in their 3'-UTR, possibly by recruiting degradation machinery to ARE-containing mRNAs.
Protein Name Far Upstream Element-Binding Protein 2
Fuse-Binding Protein 2
Kh Type-Splicing Regulatory Protein
Ksrp
P75
Database Links Reactome: R-HSA-380994
Reactome: R-HSA-450604
Cellular Localisation Nucleus
Cytoplasm
A Small Proportion Is Also Found In The Cytoplasm Of Neuronal Cell Bodies And Dendrites
Alternative Antibody Names Anti-Far Upstream Element-Binding Protein 2 antibody
Anti-Fuse-Binding Protein 2 antibody
Anti-Kh Type-Splicing Regulatory Protein antibody
Anti-Ksrp antibody
Anti-P75 antibody
Anti-KHSRP antibody
Anti-FUBP2 antibody

Information sourced from Uniprot.org