Anti-IL1R2 antibody (141-190 aa) (STJ96835)

SPECIFICATIONS
ClonalityPolyclonal
HostRabbit
ConjugationUnconjugated
IsotypeIgG
ImmunogenThe antiserum was produced against synthesized peptide derived from the Internal region of human IL1R2 at the amino acid range 141-190
STJ96835
🚚 Free UK Delivery on orders over £150
Processing The item has been added
Enquire For Bulk Order
✓ 1-Year Performance Guarantee | SDS & Datasheet Included | Expert Tech Support | Covered by St John's Laboratory Guarantee

General Information

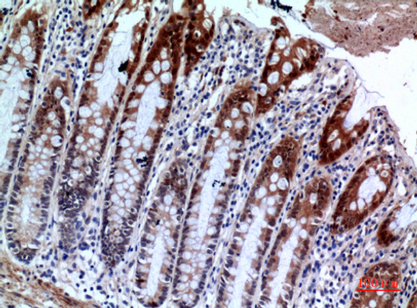
Short DescriptionRabbit polyclonal anti-Interleukin-1 receptor type 2 (141-190 aa) for use in WB, IHC, IF and ELISA in Human, Rat and Mouse samples. Datasheet included with dilution recommendations, and related reagents.
ApplicationsWB/IHC/IF/ELISA
HostRabbit
ReactivityHuman/Rat/Mouse
NoteSTRICTLY FOR FURTHER SCIENTIFIC RESEARCH USE ONLY (RUO). MUST NOT TO BE USED IN DIAGNOSTIC OR THERAPEUTIC APPLICATIONS.

Product Properties

ClonalityPolyclonal
IsotypeIgG
ConjugationUnconjugated
Concentration1 mg/mL
PurificationThe antibody was affinity-purified from rabbit antiserum by affinity-chromatography using epitope-specific immunogen.
Dilution RangeWB 1:500-1:2000
IHC-P 1:100-1:300
ELISA 1:20000
IF 1:50-200
FormulationLiquid in PBS containing 50% Glycerol, 0.5% BSA and 0.02% Sodium Azide.
Storage InstructionStore at-20°C for up to 1 year from the date of receipt, and avoid repeat freeze-thaw cycles.

Target Information

Gene SymbolIL1R2
Gene ID7850
Uniprot IDIL1R2_HUMAN
ImmunogenThe antiserum was produced against synthesized peptide derived from the Internal region of human IL1R2 at the amino acid range 141-190
Immunogen Region141-190 aa
SpecificityIL-1RII Polyclonal Antibody detects endogenous levels of IL-1RII protein.

Additional Info

Function Non-signaling receptor for IL1A, IL1B and IL1RN. Reduces IL1B activities. Serves as a decoy receptor by competitive binding to IL1B and preventing its binding to IL1R1. Also modulates cellular response through non-signaling association with IL1RAP after binding to IL1B. IL1R2 (membrane and secreted forms) preferentially binds IL1B and poorly IL1A and IL1RN. The secreted IL1R2 recruits secreted IL1RAP with high affinity.this complex formation may be the dominant mechanism for neutralization of IL1B by secreted/soluble receptors.
Protein Name Interleukin-1 Receptor Type 2
Il-1r-2
Il-1rt-2
Il-1rt2
Cd121 Antigen-Like Family Member B
Cdw121b
Il-1 Type Ii Receptor
Interleukin-1 Receptor Beta
Il-1r-Beta
Interleukin-1 Receptor Type Ii
Cd Antigen Cd121b Cleaved Into - Interleukin-1 Receptor Type 2 - Membrane Form
Mil-1r2
Mil-1rii - Interleukin-1 Receptor Type 2 - Soluble Form
Sil-1r2
Sil-1rii
Database Links Reactome: R-HSA-6783783
Reactome: R-HSA-9020702
Cellular Localisation Isoform Short: Secreted
Isoform Long: Cell Membrane
Single-Pass Type I Membrane Protein
Alternative Antibody Names Anti-Interleukin-1 Receptor Type 2 antibody
Anti-Il-1r-2 antibody
Anti-Il-1rt-2 antibody
Anti-Il-1rt2 antibody
Anti-Cd121 Antigen-Like Family Member B antibody
Anti-Cdw121b antibody
Anti-Il-1 Type Ii Receptor antibody
Anti-Interleukin-1 Receptor Beta antibody
Anti-Il-1r-Beta antibody
Anti-Interleukin-1 Receptor Type Ii antibody
Anti-Cd Antigen Cd121b Cleaved Into - Interleukin-1 Receptor Type 2 - Membrane Form antibody
Anti-Mil-1r2 antibody
Anti-Mil-1rii - Interleukin-1 Receptor Type 2 - Soluble Form antibody
Anti-Sil-1r2 antibody
Anti-Sil-1rii antibody
Anti-IL1R2 antibody
Anti-IL1RB antibody

Information sourced from Uniprot.org

Citations

Product Review

Well-cited Academic Publications
KO-Validated 700+ Lines
Technical Support Expert Scientific Team
1-Year Guarantee Antibodies & Proteins