Anti-H2AFY antibody (123-372) (STJ29125)

SPECIFICATIONS
ClonalityPolyclonal
HostRabbit
ConjugationUnconjugated
IsotypeIgG
STJ29125
🚚 Free UK Delivery on orders over £150
Processing The item has been added
Enquire For Bulk Order
✓ 1-Year Performance Guarantee | SDS & Datasheet Included | Expert Tech Support | Covered by St John's Laboratory Guarantee

General Information

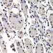
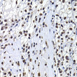
Short DescriptionRabbit polyclonal macroH2A.1 (123-372) antibody for use in WB, IHC-P, IF, ICC and ELISA in human, mouse and rat samples. Datasheet included with dilution recommendations, and related reagents.
ApplicationsWB/IHC-P/IF/ICC/ELISA
HostRabbit
ReactivityHuman/Mouse/Rat
NoteSTRICTLY FOR FURTHER SCIENTIFIC RESEARCH USE ONLY (RUO). MUST NOT TO BE USED IN DIAGNOSTIC OR THERAPEUTIC APPLICATIONS.

Product Properties

ClonalityPolyclonal
IsotypeIgG
ConjugationUnconjugated
ConcentrationLot specific
PurificationAffinity purification
Dilution RangeWB:1:500-1:2000
IHC-P:1:50-1:200
IF/ICC:1:50-1:100
ELISA:Recommended starting concentration is 1 Mu g/mL. Please optimize the concentration based on your specific assay requirements.
FormulationPBS with 0.02% Sodium Azide, 50% Glycerol, pH 7.3.
Storage InstructionStore at-20°C for up to 1 year from the date of receipt, and avoid repeat freeze-thaw cycles.

Target Information

Gene SymbolMACROH2A1
Gene ID9555
Uniprot IDH2AY_HUMAN
Immunogen Region123-372
Immunogen SequenceKLEAIITPPPAKKAKSPSQK KPVSKKAGGKKGARKSKKKQ GEVSKAASADSTTEGTPADG FTVLSTKSLFLGQKLNLIHS EISNLAGFEVEAIINPTNAD IDLKDDLGNTLEKKGGKEFV EAVLELRKKNGPLEVAGAAV SAGHGLPAKFVIHCNSPVWG ADKCEELLEKTVKNCLALAD DKKLKSIAFPSIGSGRNGFP KQTAAQLILKAISSYFVSTM SSSIKTVYFVLFDSESIGI
SpecificityRecombinant fusion protein containing a sequence corresponding to amino acids 123-372 of human macroH2A.1 (NP_613258.2).

Additional Info

Tissue Specificity Widely expressed.
Post Translational Modifications Monoubiquitinated at either Lys-116 or Lys-117. May also be polyubiquitinated. Ubiquitination is mediated by the CUL3/SPOP E3 complex and does not promote proteasomal degradation. Instead, it is required for enrichment in inactive X chromosome chromatin.
Function Variant histone H2A which replaces conventional H2A in a subset of nucleosomes where it represses transcription. Nucleosomes wrap and compact DNA into chromatin, limiting DNA accessibility to the cellular machineries which require DNA as a template. Histones thereby play a central role in transcription regulation, DNA repair, DNA replication and chromosomal stability. DNA accessibility is regulated via a complex set of post-translational modifications of histones, also called histone code, and nucleosome remodeling. Involved in stable X chromosome inactivation. Inhibits the binding of transcription factors, including NF-kappa-B, and interferes with the activity of remodeling SWI/SNF complexes. Inhibits histone acetylation by EP300 and recruits class I HDACs, which induces a hypoacetylated state of chromatin. Isoform 1: Isoform that specifically binds poly-ADP-ribose and O-acetyl-ADP-ribose and plays a key role in NAD(+) metabolism. Able to bind to the ends of poly-ADP-ribose chains created by PARP1 and cap them. This prevents PARP1 from further addition of ADP-ribose and thus limits the consumption of nuclear NAD(+), allowing the cell to maintain proper NAD(+) levels in both the nucleus and the mitochondria to promote proper mitochondrial respiration. Increases the expression of genes involved in redox metabolism, including SOD3. Isoform 2: In contrast to isoform 1, does not bind poly-ADP-ribose. Represses SOD3 gene expression.
Protein Name Core Histone Macro-H2a.1
Histone Macroh2a1
Mh2a1
Histone H2a.y
H2a/Y
Medulloblastoma Antigen Mu-Mb-50.205
Database Links
Cellular Localisation Nucleus
Chromosome
Enriched In Inactive X Chromosome Chromatin And In Senescence-Associated Heterochromatin
Recruited To Dna Damage Sites In An Aplf-Dependent Manner
Alternative Antibody Names Anti-Core Histone Macro-H2a.1 antibody
Anti-Histone Macroh2a1 antibody
Anti-Mh2a1 antibody
Anti-Histone H2a.y antibody
Anti-H2a/Y antibody
Anti-Medulloblastoma Antigen Mu-Mb-50.205 antibody
Anti-MACROH2A1 antibody
Anti-H2AFY antibody

Information sourced from Uniprot.org

Citations

Product Review

Well-cited Academic Publications
KO-Validated 700+ Lines
Technical Support Expert Scientific Team
1-Year Guarantee Antibodies & Proteins