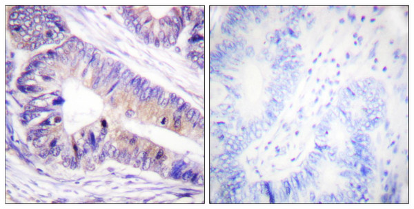
| Short Description : | Rabbit polyclonal anti-14-3-3 protein zeta/delta (196-245 aa) for use in WB, IHC, IF and ELISA in Human, Mouse and Rat samples. Datasheet included with dilution recommendations, and related reagents. |
| Applications: | WB/IHC/IF/ELISA |
| Host: | Rabbit |
| Reactivity: | Human/Mouse/Rat |
| Note: | STRICTLY FOR FURTHER SCIENTIFIC RESEARCH USE ONLY (RUO). MUST NOT TO BE USED IN DIAGNOSTIC OR THERAPEUTIC APPLICATIONS. |
| Clonality : | Polyclonal |
| Isotype: | IgG |
| Conjugation: | Unconjugated |
| Concentration: | 1 mg/mL |
| Purification: | The antibody was affinity-purified from rabbit antiserum by affinity-chromatography using epitope-specific immunogen. |
| Dilution Range: | WB 1:500-1:2000IHC 1:100-1:300IF 1:200-1:1000ELISA 1:10000 |
| Formulation: | Liquid in PBS containing 50% Glycerol, 0.5% BSA and 0.02% Sodium Azide. |
| Storage Instruction: | Store at-20°C for up to 1 year from the date of receipt, and avoid repeat freeze-thaw cycles. |
| Gene Symbol: | YWHAZ |
| Gene ID: | 7534 |
| Uniprot ID: | 1433Z_HUMAN |
| Immunogen: | The antiserum was produced against synthesized peptide derived from the human 14-3-3 zeta/delta at the amino acid range 196-245 |
| Immunogen Region: | 196-245 aa |
| Specificity: | 14-3-3 Zeta/Delta Polyclonal Antibody detects endogenous levels of 14-3-3 Zeta/Delta protein. |
| Function | Adapter protein implicated in the regulation of a large spectrum of both general and specialized signaling pathways. Binds to a large number of partners, usually by recognition of a phosphoserine or phosphothreonine motif. Binding generally results in the modulation of the activity of the binding partner. Promotes cytosolic retention and inactivation of TFEB transcription factor by binding to phosphorylated TFEB. Induces ARHGEF7 activity on RAC1 as well as lamellipodia and membrane ruffle formation. In neurons, regulates spine maturation through the modulation of ARHGEF7 activity. |
| Protein Name | 14-3-3 Protein Zeta/DeltaProtein Kinase C Inhibitor Protein 1Kcip-1 |
| Database Links | Reactome: R-HSA-111447Reactome: R-HSA-1445148Reactome: R-HSA-3769402Reactome: R-HSA-392517Reactome: R-HSA-430116Reactome: R-HSA-450604Reactome: R-HSA-512988Reactome: R-HSA-5625740Reactome: R-HSA-5628897Reactome: R-HSA-75035Reactome: R-HSA-9013700Reactome: R-HSA-9604323Reactome: R-HSA-9614399Reactome: R-HSA-9735871Reactome: R-HSA-9755779Reactome: R-HSA-9856649 |
| Cellular Localisation | CytoplasmMelanosomeLocated To Stage I To Stage Iv Melanosomes |
| Alternative Antibody Names | Anti-14-3-3 Protein Zeta/Delta antibodyAnti-Protein Kinase C Inhibitor Protein 1 antibodyAnti-Kcip-1 antibodyAnti-YWHAZ antibody |
Information sourced from Uniprot.org

