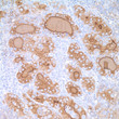
Anti-Thyroglobulin antibody [MRQ-41] (STJ16100431)

SPECIFICATIONS
ClonalityMonoclonal
HostMouse
ConjugationUnconjugated
IsotypeIgG1
STJ16100431
🚚 Free UK Delivery on orders over £150
Processing The item has been added
Enquire For Bulk Order
✓ 1-Year Performance Guarantee | SDS & Datasheet Included | Expert Tech Support | Covered by St John's Laboratory Guarantee

General Information

Short DescriptionMouse monoclonal anti-Thyroglobulin for use in IHC-P in Human samples. Datasheet included with dilution recommendations, and related reagents.
ApplicationsIHC-P
HostMouse
ReactivityHuman
NoteSTRICTLY FOR FURTHER SCIENTIFIC RESEARCH USE ONLY (RUO). MUST NOT TO BE USED IN DIAGNOSTIC OR THERAPEUTIC APPLICATIONS.

Product Properties

ClonalityMonoclonal
Clone IDMRQ-41
IsotypeIgG1
ConjugationUnconjugated
Dilution RangeIHC 1:100 – 1:500
FormulationTris Buffer, pH 7.3-7.7, containing 1% BSA and <0.1% Sodium Azide
Storage InstructionStore at 2-8°C for up to 1-year, upon receipt.

Target Information

Gene SymbolTG
Gene ID7038
Uniprot IDTHYG_HUMAN

Additional Info

Tissue Specificity Specifically expressed in the thyroid gland.
Post Translational Modifications Iodinated on tyrosine residues by TPO. There are 4 pairs of iodinated tyrosines used for coupling: acceptor Tyr-24 is coupled to donor Tyr-149 or Tyr-234, acceptor Tyr-2573 is coupled to donor Tyr-2540, acceptor Tyr-2766 in monomer 1 is coupled to donor Tyr-2766 in monomer 2 and acceptor Tyr-1310 in monomer 1 is coupled to donor Tyr-108 in monomer 2. Sulfated tyrosines are desulfated during iodination. Undergoes sequential proteolysis by cathepsins to release thyroxine (T4) and triiodothyronine (T3) hormones. In the thyroid follicle lumen, cross-linked TG (storage form) is solubilized by limited proteolysis mediated by cathepsins CTSB and/or CTSL. Partially cleaved TG is further processed by CTSK/cathepsin K and/or CTSL resulting in the release of T4. Following endocytosis, further processing occurs leading to the release of T3 and more T4 hormones.
Function Acts as a substrate for the production of iodinated thyroid hormones thyroxine (T4) and triiodothyronine (T3). The synthesis of T3 and T4 involves iodination of selected tyrosine residues of TG/thyroglobulin followed by their oxidative coupling in the thyroid follicle lumen. Following TG re-internalization and lysosomal-mediated proteolysis, T3 and T4 are released from the polypeptide backbone leading to their secretion into the bloodstream. One dimer produces 7 thyroid hormone molecules.
Protein Name Thyroglobulin
Tg
Database Links
Cellular Localisation Secreted
Secreted Into The Thyroid Follicle Lumen
Localizes To Colloid Globules
A Structure Formed In The Thyroid Follicle Lumen Consisting Of Cross-Linked Tg Arranged In Concentric Layers
Alternative Antibody Names Anti-Thyroglobulin antibody
Anti-Tg antibody
Anti-TG antibody

Information sourced from Uniprot.org

Citations

Product Review