Anti-SIAH2 antibody (241-290 aa) (STJ95662)

SKU:
STJ95662
£49.00 - £261.00
Processing The item has been added

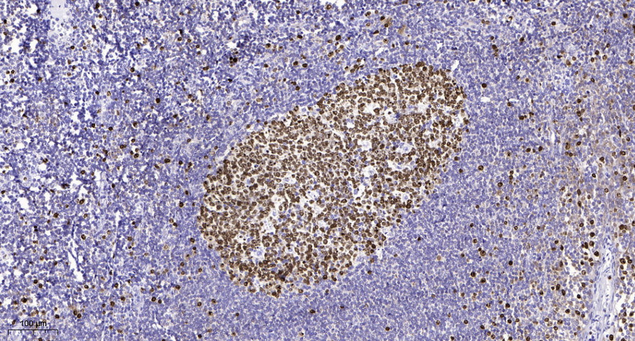
Short Description :Rabbit polyclonal anti-E3 ubiquitin-protein ligase SIAH2 (241-290 aa) for use in WB, IHC, IF and ELISA in Human, Mouse and Rat samples. Datasheet included with dilution recommendations, and related reagents.
Applications:WB/IHC/IF/ELISA
Host:Rabbit
Reactivity:Human/Mouse/Rat
Note:STRICTLY FOR FURTHER SCIENTIFIC RESEARCH USE ONLY (RUO). MUST NOT TO BE USED IN DIAGNOSTIC OR THERAPEUTIC APPLICATIONS.
Clonality :Polyclonal
Isotype:IgG
Conjugation:Unconjugated
Concentration:1 mg/mL
Purification:The antibody was affinity-purified from rabbit antiserum by affinity-chromatography using epitope-specific immunogen.
Dilution Range:WB 1:500-1:2000
IHC 1:100-1:300
ELISA 1:20000
IF 1:50-200
Formulation:Liquid in PBS containing 50% Glycerol, 0.5% BSA and 0.02% Sodium Azide.
Storage Instruction:Store at-20°C for up to 1 year from the date of receipt, and avoid repeat freeze-thaw cycles.
Gene Symbol:SIAH2
Gene ID:6478
Uniprot ID:SIAH2_HUMAN
Immunogen:The antiserum was produced against synthesized peptide derived from the human SIAH2 at the amino acid range 241-290
Immunogen Region:241-290 aa
Specificity:Siah-2 Polyclonal Antibody detects endogenous levels of Siah-2 protein.
Post Translational Modifications Phosphorylated at Ser-28 by MAPK14, which mediates the degradation by the proteasome of EGLN3. Phosphorylated at Ser-28 by DYRK2.this increases the ubiquitin ligase activity and promotes degradation of EGLN3.
Function E3 ubiquitin-protein ligase that mediates ubiquitination and subsequent proteasomal degradation of target proteins. E3 ubiquitin ligases accept ubiquitin from an E2 ubiquitin-conjugating enzyme in the form of a thioester and then directly transfers the ubiquitin to targeted substrates. Mediates E3 ubiquitin ligase activity either through direct binding to substrates or by functioning as the essential RING domain subunit of larger E3 complexes. Triggers the ubiquitin-mediated degradation of many substrates, including proteins involved in transcription regulation (GPS2, POU2AF1, PML, NCOR1), a cell surface receptor (DCC), an antiapoptotic protein (BAG1), and a protein involved in synaptic vesicle function in neurons (SYP). Mediates ubiquitination and proteasomal degradation of DYRK2 in response to hypoxia. It is thereby involved in apoptosis, tumor suppression, cell cycle, transcription and signaling processes. Has some overlapping function with SIAH1. Triggers the ubiquitin-mediated degradation of TRAF2, whereas SIAH1 does not. Promotes monoubiquitination of SNCA. Regulates cellular clock function via ubiquitination of the circadian transcriptional repressors NR1D1 and NR1D2 leading to their proteasomal degradation. Plays an important role in mediating the rhythmic degradation/clearance of NR1D1 and NR1D2 contributing to their circadian profile of protein abundance. Mediates ubiquitination and degradation of EGLN2 and EGLN3 in response to the unfolded protein response (UPR), leading to their degradation and subsequent stabilization of ATF4. Also part of the Wnt signaling pathway in which it mediates the Wnt-induced ubiquitin-mediated proteasomal degradation of AXIN1.
Protein Name E3 Ubiquitin-Protein Ligase Siah2
Ring-Type E3 Ubiquitin Transferase Siah2
Seven In Absentia Homolog 2
Siah-2
Hsiah2
Database Links Reactome: R-HSA-373752
Reactome: R-HSA-5689880
Reactome: R-HSA-977225
Reactome: R-HSA-983168
Cellular Localisation Cytoplasm
Nucleus
Predominantly Cytoplasmic
Partially Nuclear
Alternative Antibody Names Anti-E3 Ubiquitin-Protein Ligase Siah2 antibody
Anti-Ring-Type E3 Ubiquitin Transferase Siah2 antibody
Anti-Seven In Absentia Homolog 2 antibody
Anti-Siah-2 antibody
Anti-Hsiah2 antibody
Anti-SIAH2 antibody

Information sourced from Uniprot.org