Anti-SENP1 antibody (220-420) (STJ115053)

SPECIFICATIONS
ClonalityPolyclonal
HostRabbit
ConjugationUnconjugated
IsotypeIgG
STJ115053
🚚 Free UK Delivery on orders over £150
Processing The item has been added
Enquire For Bulk Order
✓ 1-Year Performance Guarantee | SDS & Datasheet Included | Expert Tech Support | Covered by St John's Laboratory Guarantee

General Information

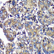
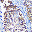
Short DescriptionRabbit polyclonal SENP1 (220-420) antibody for use in WB, IHC-P and ELISA in human, mouse and rat samples. Datasheet included with dilution recommendations, and related reagents.
ApplicationsWB/IHC-P/ELISA
HostRabbit
ReactivityHuman/Mouse/Rat
NoteSTRICTLY FOR FURTHER SCIENTIFIC RESEARCH USE ONLY (RUO). MUST NOT TO BE USED IN DIAGNOSTIC OR THERAPEUTIC APPLICATIONS.

Product Properties

ClonalityPolyclonal
IsotypeIgG
ConjugationUnconjugated
ConcentrationLot specific
PurificationAffinity purification
Dilution RangeWB:1:500-1:2000
IHC-P:1:50-1:200
ELISA:Recommended starting concentration is 1 Mu g/mL. Please optimize the concentration based on your specific assay requirements.
FormulationPBS with 0.01% Thimerosal, 50% Glycerol, pH 7.3.
Storage InstructionStore at-20°C for up to 1 year from the date of receipt, and avoid repeat freeze-thaw cycles.

Target Information

Gene SymbolSENP1
Gene ID29843
Uniprot IDSENP1_HUMAN
Immunogen Region220-420
Immunogen SequenceSRCLSSSKNTLKDSLFKNGN SCASQIIGSDTSSSGSASIL TNQEQLSHSVYSLSSYTPDV AFGSKDSGTLHHPHHHHSVP HQPDNLAASNTQSEGSDSVI LLKVKDSQTPTPSSTFFQAE LWIKELTSVYDSRARERLRQ IEEQKALALQLQNQRLQERE HSVHDSVELHLRVPLEKEIP VTVVQETQKKGHKLTDSEDE F
SpecificityRecombinant fusion protein containing a sequence corresponding to amino acids 220-420 of human SENP1 (NP_001254523.1).

Additional Info

Tissue Specificity Highly expressed in testis. Expressed at lower levels in thymus, pancreas, spleen, liver, ovary and small intestine.
Function Protease that catalyzes two essential functions in the SUMO pathway. The first is the hydrolysis of an alpha-linked peptide bond at the C-terminal end of the small ubiquitin-like modifier (SUMO) propeptides, SUMO1, SUMO2 and SUMO3 leading to the mature form of the proteins. The second is the deconjugation of SUMO1, SUMO2 and SUMO3 from targeted proteins, by cleaving an epsilon-linked peptide bond between the C-terminal glycine of the mature SUMO and the lysine epsilon-amino group of the target protein. Deconjugates SUMO1 from HIPK2. Deconjugates SUMO1 from HDAC1 and BHLHE40/DEC1, which decreases its transcriptional repression activity. Deconjugates SUMO1 from CLOCK, which decreases its transcriptional activation activity. Deconjugates SUMO2 from MTA1. Inhibits N(6)-methyladenosine (m6A) RNA methylation by mediating SUMO1 deconjugation from METTL3 and ALKBH5: METTL3 inhibits the m6A RNA methyltransferase activity, while ALKBH5 desumoylation promotes m6A demethylation. Desumoylates CCAR2 which decreases its interaction with SIRT1. Deconjugates SUMO1 from GPS2.
Protein Name Sentrin-Specific Protease 1
Sentrin/Sumo-Specific Protease Senp1
Database Links Reactome: R-HSA-3065679
Reactome: R-HSA-9035034
Cellular Localisation Nucleus
Cytoplasm
Shuttles Between Cytoplasm And Nucleus
Alternative Antibody Names Anti-Sentrin-Specific Protease 1 antibody
Anti-Sentrin/Sumo-Specific Protease Senp1 antibody
Anti-SENP1 antibody

Information sourced from Uniprot.org

Citations

Product Review

Well-cited Academic Publications
KO-Validated 700+ Lines
Technical Support Expert Scientific Team
1-Year Guarantee Antibodies & Proteins