Anti-RAB3A antibody (181aa C-Term) (STJ140151)

SPECIFICATIONS
ClonalityPolyclonal
HostGoat
ConjugationUnconjugated
IsotypeIgG
ImmunogenRecombinant peptide derived from within residues 181 aa to the C-terminus of Rab3a produced in E. coli.
STJ140151
🚚 Free UK Delivery on orders over £150
Processing The item has been added
Enquire For Bulk Order
✓ 1-Year Performance Guarantee | SDS & Datasheet Included | Expert Tech Support | Covered by St John's Laboratory Guarantee

General Information

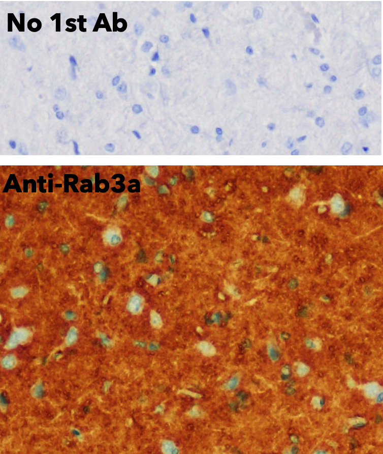
Short DescriptionGoat polyclonal RAB3, member RAS oncogene family (181aa C-Term) antibody for use in WB, IHC-F and IHC-P in human, rat, mouse, canine and monkey samples. Datasheet included with dilution recommendations, and related reagents.
ApplicationsWB/IHC-F/IHC-P
HostGoat
ReactivityHuman/Rat/Mouse/Canine/Monkey
NoteSTRICTLY FOR FURTHER SCIENTIFIC RESEARCH USE ONLY (RUO). MUST NOT TO BE USED IN DIAGNOSTIC OR THERAPEUTIC APPLICATIONS.

Product Properties

ClonalityPolyclonal
IsotypeIgG
ConjugationUnconjugated
Concentration2 mg/mL
PurificationThis antibody is epitope-affinity purified from goat antiserum.
Dilution RangeWB 1:1000-1:2000
IHC-F 1:250-1:1000
IHC-P 1:250-1:1000
Cabaço LC Bento-Lopes L Neto MV et al. JID Innov 2022 Jun PMID: 36090299
FormulationPBS, 20% Glycerol and 0.05% Sodium Azide.
Storage InstructionFor continuous use, store at 2-8 C for one-two days. For extended storage, store in-20 C freezer. Working dilution samples should be discarded if not used within 12 hours.

Target Information

Gene SymbolRAB3A
Gene ID5864
Uniprot IDRAB3A_HUMAN
Accession NumberENSG00000105649
ImmunogenRecombinant peptide derived from within residues 181 aa to the C-terminus of Rab3a produced in E. coli.
Immunogen Region181aa C-Term
Immunogen SequenceEFMSTQIKTYSWDNAQVLLV FMSTQIKTYSWDNAQVLLVG MSTQIKTYSWDNAQVLLVGN STQIKTYSWDNAQVLLVGNK TQIKTYSWDNAQVLLVGNKC QIKTYSWDNAQVLLVGNKCD
SpecificityDetects endogenous levels of Rab3a by Western blot. It does not cross-react with Rab3b, Rab3c and Rab3c.

Additional Info

Tissue Specificity Specifically expressed in brain.
Post Translational Modifications Phosphorylation of Thr-86 in the switch II region by LRRK2 prevents the association of RAB regulatory proteins, including CHM, CHML and RAB GDP dissociation inhibitors GDI1 and GDI2.
Function The small GTPases Rab are key regulators of intracellular membrane trafficking, from the formation of transport vesicles to their fusion with membranes. Rabs cycle between an inactive GDP-bound form and an active GTP-bound form that is able to recruit to membranes different sets of downstream effectors directly responsible for vesicle formation, movement, tethering and fusion. RAB3A plays a central role in regulated exocytosis and secretion. Controls the recruitment, tethering and docking of secretory vesicles to the plasma membrane. Upon stimulation, switches to its active GTP-bound form, cycles to vesicles and recruits effectors such as RIMS1, RIMS2, Rabphilin-3A/RPH3A, RPH3AL or SYTL4 to help the docking of vesicules onto the plasma membrane. Upon GTP hydrolysis by GTPase-activating protein, dissociates from the vesicle membrane allowing the exocytosis to proceed. Stimulates insulin secretion through interaction with RIMS2 or RPH3AL effectors in pancreatic beta cells. Regulates calcium-dependent lysosome exocytosis and plasma membrane repair (PMR) via the interaction with 2 effectors, SYTL4 and myosin-9/MYH9. Acts as a positive regulator of acrosome content secretion in sperm cells by interacting with RIMS1. Also plays a role in the regulation of dopamine release by interacting with synaptotagmin I/SYT.
Protein Name Ras-Related Protein Rab-3a
Database Links Reactome: R-HSA-181429
Reactome: R-HSA-181430
Reactome: R-HSA-210500
Reactome: R-HSA-212676
Reactome: R-HSA-264642
Reactome: R-HSA-6798695
Reactome: R-HSA-8873719
Reactome: R-HSA-8876198
Reactome: R-HSA-888590
Reactome: R-HSA-9662360
Cellular Localisation Cytoplasm
Cytosol
Lysosome
Cytoplasmic Vesicle
Secretory Vesicle
Cell Projection
Axon
Cell Membrane
Lipid-Anchor
Cytoplasmic Side
Presynapse
Postsynapse
Cycles Between A Vesicle-Associated Gtp-Bound Form And A Cytosolic Gdp-Bound Form
Alternative Antibody Names Anti-Ras-Related Protein Rab-3a antibody
Anti-RAB3A antibody

Information sourced from Uniprot.org

Citations

Product Review

Well-cited Academic Publications
KO-Validated 700+ Lines
Technical Support Expert Scientific Team
1-Year Guarantee Antibodies & Proteins