Anti-Phospho-EGFR-Y1197 antibody (STJ22106)

SPECIFICATIONS
ClonalityPolyclonal
HostRabbit
ConjugationUnconjugated
IsotypeIgG
STJ22106
🚚 Free UK Delivery on orders over £150
Processing The item has been added
Enquire For Bulk Order
✓ 1-Year Performance Guarantee | SDS & Datasheet Included | Expert Tech Support | Covered by St John's Laboratory Guarantee

General Information

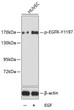
Short DescriptionRabbit polyclonal Phospho-EGFR-Y1197 antibody for use in WB in human samples. Datasheet included with dilution recommendations, and related reagents.
ApplicationsWB
HostRabbit
ReactivityHuman
NoteSTRICTLY FOR FURTHER SCIENTIFIC RESEARCH USE ONLY (RUO). MUST NOT TO BE USED IN DIAGNOSTIC OR THERAPEUTIC APPLICATIONS.

Product Properties

ClonalityPolyclonal
IsotypeIgG
ConjugationUnconjugated
ConcentrationLot specific
PurificationAffinity purification
Dilution RangeWB:1:500-1:2000
FormulationPBS with 0.02% Sodium Azide, 50% Glycerol, pH 7.3.
Storage InstructionStore at-20°C for up to 1 year from the date of receipt, and avoid repeat freeze-thaw cycles.

Target Information

Gene SymbolEGFR
Gene ID1956
Uniprot IDEGFR_HUMAN
SpecificityA phospho specific peptide corresponding to residues surrounding Y1197 of human EGFR

Additional Info

Tissue Specificity Ubiquitously expressed. Isoform 2 is also expressed in ovarian cancers.
Post Translational Modifications Phosphorylated on Tyr residues in response to EGF. Phosphorylation at Ser-695 is partial and occurs only if Thr-693 is phosphorylated. Phosphorylation at Thr-678 and Thr-693 by PRKD1 inhibits EGF-induced MAPK8/JNK1 activation. Dephosphorylation by PTPRJ prevents endocytosis and stabilizes the receptor at the plasma membrane. Autophosphorylation at Tyr-1197 is stimulated by methylation at Arg-1199 and enhances interaction with PTPN6. Autophosphorylation at Tyr-1092 and/or Tyr-1110 recruits STAT3. Dephosphorylated by PTPN1 and PTPN2. Monoubiquitinated and polyubiquitinated upon EGF stimulation.which does not affect tyrosine kinase activity or signaling capacity but may play a role in lysosomal targeting. Polyubiquitin linkage is mainly through 'Lys-63', but linkage through 'Lys-48', 'Lys-11' and 'Lys-29' also occurs. Deubiquitination by OTUD7B prevents degradation. Ubiquitinated by RNF115 and RNF126. Ubiquitinated by ZNRF1 or CBL at different lysines in response to EGF stimulation.leading to recruitment of the ESCRT machinery and subsequent degradation in the lysosomes. Deubiquitinated by UCHL1 leading to the inhibition of its degradation. Palmitoylated on Cys residues by ZDHHC20. Palmitoylation inhibits internalization after ligand binding, and increases the persistence of tyrosine-phosphorylated EGFR at the cell membrane. Palmitoylation increases the amplitude and duration of EGFR signaling. Methylated. Methylation at Arg-1199 by PRMT5 stimulates phosphorylation at Tyr-1197.
Function Receptor tyrosine kinase binding ligands of the EGF family and activating several signaling cascades to convert extracellular cues into appropriate cellular responses. Known ligands include EGF, TGFA/TGF-alpha, AREG, epigen/EPGN, BTC/betacellulin, epiregulin/EREG and HBEGF/heparin-binding EGF. Ligand binding triggers receptor homo- and/or heterodimerization and autophosphorylation on key cytoplasmic residues. The phosphorylated receptor recruits adapter proteins like GRB2 which in turn activates complex downstream signaling cascades. Activates at least 4 major downstream signaling cascades including the RAS-RAF-MEK-ERK, PI3 kinase-AKT, PLCgamma-PKC and STATs modules. May also activate the NF-kappa-B signaling cascade. Also directly phosphorylates other proteins like RGS16, activating its GTPase activity and probably coupling the EGF receptor signaling to the G protein-coupled receptor signaling. Also phosphorylates MUC1 and increases its interaction with SRC and CTNNB1/beta-catenin. Positively regulates cell migration via interaction with CCDC88A/GIV which retains EGFR at the cell membrane following ligand stimulation, promoting EGFR signaling which triggers cell migration. Plays a role in enhancing learning and memory performance. Plays a role in mammalian pain signaling (long-lasting hypersensitivity). Isoform 2 may act as an antagonist of EGF action. (Microbial infection) Acts as a receptor for hepatitis C virus (HCV) in hepatocytes and facilitates its cell entry. Mediates HCV entry by promoting the formation of the CD81-CLDN1 receptor complexes that are essential for HCV entry and by enhancing membrane fusion of cells expressing HCV envelope glycoproteins.
Protein Name Epidermal Growth Factor Receptor
Proto-Oncogene C-Erbb-1
Receptor Tyrosine-Protein Kinase Erbb-1
Database Links Reactome: R-HSA-1227986
Reactome: R-HSA-1236382
Reactome: R-HSA-1236394
Reactome: R-HSA-1250196
Reactome: R-HSA-1251932
Reactome: R-HSA-1257604
Reactome: R-HSA-177929
Reactome: R-HSA-179812
Reactome: R-HSA-180292
Reactome: R-HSA-180336
Reactome: R-HSA-182971
Reactome: R-HSA-1963640
Reactome: R-HSA-1963642
Reactome: R-HSA-212718
Reactome: R-HSA-2179392
Reactome: R-HSA-2219530
Reactome: R-HSA-445144
Reactome: R-HSA-5637810
Reactome: R-HSA-5638303
Reactome: R-HSA-5673001
Reactome: R-HSA-6785631
Reactome: R-HSA-6811558
Reactome: R-HSA-8847993
Reactome: R-HSA-8856825
Reactome: R-HSA-8856828
Reactome: R-HSA-8857538
Reactome: R-HSA-8863795
Reactome: R-HSA-8866910
Reactome: R-HSA-9009391
Reactome: R-HSA-9013507
Reactome: R-HSA-9609690
Reactome: R-HSA-9634638
Reactome: R-HSA-9664565
Reactome: R-HSA-9665348
Reactome: R-HSA-9665686
Reactome: R-HSA-9820960
Cellular Localisation Cell Membrane
Single-Pass Type I Membrane Protein
Endoplasmic Reticulum Membrane
Golgi Apparatus Membrane
Nucleus Membrane
Endosome
Endosome Membrane
Nucleus
In Response To Egf
Translocated From The Cell Membrane To The Nucleus Via Golgi And Er
Endocytosed Upon Activation By Ligand
Colocalized With Gper1 In The Nucleus Of Estrogen Agonist-Induced Cancer-Associated Fibroblasts (Caf)
Isoform 2: Secreted
Alternative Antibody Names Anti-Epidermal Growth Factor Receptor antibody
Anti-Proto-Oncogene C-Erbb-1 antibody
Anti-Receptor Tyrosine-Protein Kinase Erbb-1 antibody
Anti-EGFR antibody
Anti-ERBB antibody
Anti-ERBB1 antibody
Anti-HER1 antibody

Information sourced from Uniprot.org

Citations

Product Review

Well-cited Academic Publications
KO-Validated 700+ Lines
Technical Support Expert Scientific Team
1-Year Guarantee Antibodies & Proteins