Anti-Myelin basic protein antibody (150-250aa) [ZR109] (STJ180336)

SPECIFICATIONS
ClonalityMonoclonal
HostRabbit
ConjugationUnconjugated
IsotypeIgG
ImmunogenRecombinant fragment (around aa 150-250) of human MBP
STJ180336
🚚 Free UK Delivery on orders over £150
Processing The item has been added
Enquire For Bulk Order
✓ 1-Year Performance Guarantee | SDS & Datasheet Included | Expert Tech Support | Covered by St John's Laboratory Guarantee

General Information

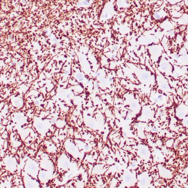
Short DescriptionRabbit monoclonal Myelin basic protein (150-250aa) antibody for use in IHC-P in human samples. Datasheet included with dilution recommendations, and related reagents.
ApplicationsIHC-P
HostRabbit
ReactivityHuman
NoteSTRICTLY FOR FURTHER SCIENTIFIC RESEARCH USE ONLY (RUO). MUST NOT TO BE USED IN DIAGNOSTIC OR THERAPEUTIC APPLICATIONS.

Product Properties

ClonalityMonoclonal
Clone IDZR109
IsotypeIgG
ConjugationUnconjugated
PurificationAffinity purified
Dilution Range1:100‐200
FormulationTris-HCI buffer containing stabilizing protein (BSA) and <0.1% ProClin
Storage InstructionStore at 2‐8°C for up to 24 months. Predilute: Ready to use, no reconstitution necessary. Concentrate: Use dilution range and appropriate lab‐standardized diluent. Stability after dilution: 7 days at 24°C, 3 months at 2‐8°C, 6months at ‐20°C.

Target Information

Gene SymbolMBP
Gene ID4155
Uniprot IDMBP_HUMAN
ImmunogenRecombinant fragment (around aa 150-250) of human MBP
Immunogen Region150-250aa
SpecificityPositive control: Brain

Additional Info

Tissue Specificity MBP isoforms are found in both the central and the peripheral nervous system, whereas Golli-MBP isoforms are expressed in fetal thymus, spleen and spinal cord, as well as in cell lines derived from the immune system.
Post Translational Modifications Several charge isomers of MBP.C1 (the most cationic, least modified, and most abundant form), C2, C3, C4, C5, C6, C7, C8-A and C8-B (the least cationic form).are produced as a result of optional PTM, such as phosphorylation, deamidation of glutamine or asparagine, arginine citrullination and methylation. C8-A and C8-B contain each two mass isoforms termed C8-A(H), C8-A(L), C8-B(H) and C8-B(L), (H) standing for higher and (L) for lower molecular weight. C3, C4 and C5 are phosphorylated. The ratio of methylated arginine residues decreases during aging, making the protein more cationic. The N-terminal alanine is acetylated (isoform 3, isoform 4, isoform 5 and isoform 6). Arg-241 was found to be 6% monomethylated and 60% symmetrically dimethylated. Proteolytically cleaved in B cell lysosomes by cathepsin CTSG which degrades the major immunogenic MBP epitope and prevents the activation of MBP-specific autoreactive T cells. Phosphorylated by TAOK2, VRK2, MAPK11, MAPK12, MAPK14 and MINK1.
Function The classic group of MBP isoforms (isoform 4-isoform 14) are with PLP the most abundant protein components of the myelin membrane in the CNS. They have a role in both its formation and stabilization. The smaller isoforms might have an important role in remyelination of denuded axons in multiple sclerosis. The non-classic group of MBP isoforms (isoform 1-isoform 3/Golli-MBPs) may preferentially have a role in the early developing brain long before myelination, maybe as components of transcriptional complexes, and may also be involved in signaling pathways in T-cells and neural cells. Differential splicing events combined with optional post-translational modifications give a wide spectrum of isomers, with each of them potentially having a specialized function. Induces T-cell proliferation.
Protein Name Myelin Basic Protein
Mbp
Myelin A1 Protein
Myelin Membrane Encephalitogenic Protein
Database Links Reactome: R-HSA-9619665
Cellular Localisation Myelin Membrane
Peripheral Membrane Protein
Cytoplasmic Side
Cytoplasmic Side Of Myelin
Isoform 3: Nucleus
Targeted To Nucleus In Oligodendrocytes
Alternative Antibody Names Anti-Myelin Basic Protein antibody
Anti-Mbp antibody
Anti-Myelin A1 Protein antibody
Anti-Myelin Membrane Encephalitogenic Protein antibody
Anti-MBP antibody

Information sourced from Uniprot.org

Citations

Product Review

Well-cited Academic Publications
KO-Validated 700+ Lines
Technical Support Expert Scientific Team
1-Year Guarantee Antibodies & Proteins