Anti-MIEN1 antibody (40-90) (STJ503551)

SPECIFICATIONS
ClonalityPolyclonal
HostRabbit
ConjugationUnconjugated
IsotypeIgG
ImmunogenSynthetic peptide taken within amino acid region 40-90 on human XTP4 protein.
STJ503551-100
๐Ÿšš Free UK Delivery on orders over ยฃ150
Processing The item has been added
Enquire For Bulk Order
✓ 1-Year Performance Guarantee | SDS & Datasheet Included | Expert Tech Support | Covered by St John's Laboratory Guarantee

General Information

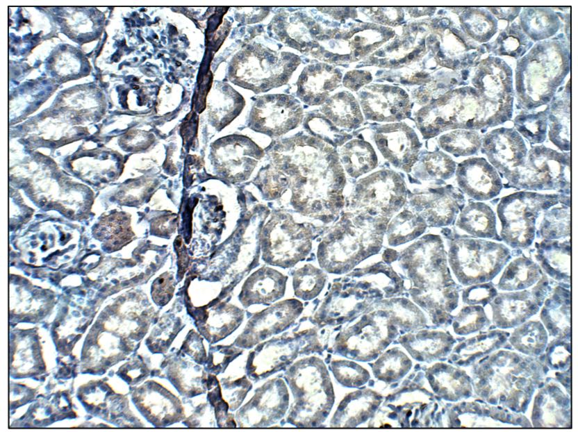
Short DescriptionRabbit polyclonal antibody anti-MIEN1 (40-90) is suitable for use in ELISA, Immunohistochemistry, Immunoprecipitation and Western Blot research applications.
ApplicationsELISA/IHC/IP/WB
HostRabbit
ReactivityHuman/Monkey/Mouse/Rat
NoteSTRICTLY FOR FURTHER SCIENTIFIC RESEARCH USE ONLY (RUO). MUST NOT TO BE USED IN DIAGNOSTIC OR THERAPEUTIC APPLICATIONS.

Product Properties

ClonalityPolyclonal
IsotypeIgG
ConjugationUnconjugated
Concentration0.65-0.83 ยตg/ยตl
PurificationAffinity Purified
Dilution RangeWB: 1:500-1:1, 000
DB: 1:2, 000
ELISA: 1:2, 000
IP: 1:200
IHC: 1:50-1:150
FormulationContains Tris, HCl/Glycine buffer pH 7.4-7.8, 30% Glycerol and 0.5% BSA, along with cryo-protective agents, Hepes, and long-term preservatives (0.02% Sodium Azide).
Storage InstructionStore at-20ยฐC for long term storage. Avoid freeze-thaw cycles.

Target Information

Gene SymbolMIEN1
Gene ID84299
Uniprot IDMIEN1_HUMAN
ImmunogenSynthetic peptide taken within amino acid region 40-90 on human XTP4 protein.
Immunogen Region40-90

Additional Info

Tissue Specificity Among normal tissues, present only in Leydig cells. Strongly up-regulated in breast cancers and in brain cancer distant metastasis (at protein level). Up-regulated in prostate cancer cells and in the higher grades of prostate adenocarcinoma (at protein level).
Post Translational Modifications Isoprenylation facilitates association with the plasma membrane and enhances the migratory phenotype of cells by inducing increased filopodia formation.
Function Increases cell migration by inducing filopodia formation at the leading edge of migrating cells. Plays a role in regulation of apoptosis, possibly through control of CASP3. May be involved in a redox-related process.
Protein Name Migration And Invasion Enhancer 1
Hbv X-Transactivated Gene 4 Protein
Hbv Xag-Transactivated Protein 4
Protein C35
Cellular Localisation Cytoplasm
Cytosol
Cell Membrane
Lipid-Anchor
Cytoplasmic Side
Concentrates At The Leading Edge Of Migrating Cells
Localizes Outside Membrane Raft Regions
Alternative Antibody Names Anti-Migration And Invasion Enhancer 1 antibody
Anti-Hbv X-Transactivated Gene 4 Protein antibody
Anti-Hbv Xag-Transactivated Protein 4 antibody
Anti-Protein C35 antibody
Anti-MIEN1 antibody
Anti-C17orf37 antibody
Anti-RDX12 antibody
Anti-XTP4 antibody

Information sourced from Uniprot.org

Citations

Product Review