Anti-MDK antibody (94-143 aa) (STJ96542)

SPECIFICATIONS
ClonalityPolyclonal
HostRabbit
ConjugationUnconjugated
IsotypeIgG
ImmunogenThe antiserum was produced against synthesized peptide derived from the Internal region of human MDK at the amino acid range 94-143
STJ96542
🚚 Free UK Delivery on orders over £150
Processing The item has been added
Enquire For Bulk Order
✓ 1-Year Performance Guarantee | SDS & Datasheet Included | Expert Tech Support | Covered by St John's Laboratory Guarantee

General Information

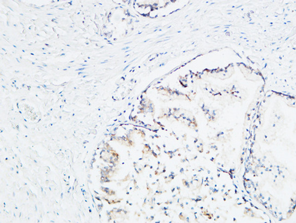
Short DescriptionRabbit polyclonal anti-Midkine (94-143 aa) for use in WB, IHC, IF and ELISA in Human and Rat samples. Datasheet included with dilution recommendations, and related reagents.
ApplicationsWB/IHC/IF/ELISA
HostRabbit
ReactivityHuman/Rat
NoteSTRICTLY FOR FURTHER SCIENTIFIC RESEARCH USE ONLY (RUO). MUST NOT TO BE USED IN DIAGNOSTIC OR THERAPEUTIC APPLICATIONS.

Product Properties

ClonalityPolyclonal
IsotypeIgG
ConjugationUnconjugated
Concentration1 mg/mL
PurificationThe antibody was affinity-purified from rabbit antiserum by affinity-chromatography using epitope-specific immunogen.
Dilution RangeWB 1:500-1:2000
IHC-P 1:100-300
ELISA 1:20000
IF 1:50-200
FormulationLiquid in PBS containing 50% Glycerol, 0.5% BSA and 0.02% Sodium Azide.
Storage InstructionStore at-20°C for up to 1 year from the date of receipt, and avoid repeat freeze-thaw cycles.

Target Information

Gene SymbolMDK
Gene ID4192
Uniprot IDMK_HUMAN
ImmunogenThe antiserum was produced against synthesized peptide derived from the Internal region of human MDK at the amino acid range 94-143
Immunogen Region94-143 aa
SpecificityMK Polyclonal Antibody detects endogenous levels of MK protein.

Additional Info

Function Secreted protein that functions as a cytokine and growth factor and mediates its signal through cell-surface proteoglycan and non-proteoglycan receptors. Binds cell-surface proteoglycan receptors via their chondroitin sulfate (CS) groups. Thereby regulates many processes like inflammatory response, cell proliferation, cell adhesion, cell growth, cell survival, tissue regeneration, cell differentiation and cell migration. Participates in inflammatory processes by exerting two different activities. Firstly, mediates neutrophils and macrophages recruitment to the sites of inflammation both by direct action by cooperating namely with ITGB2 via LRP1 and by inducing chemokine expression. This inflammation can be accompanied by epithelial cell survival and smooth muscle cell migration after renal and vessel damage, respectively. Secondly, suppresses the development of tolerogenic dendric cells thereby inhibiting the differentiation of regulatory T cells and also promote T cell expansion through NFAT signaling and Th1 cell differentiation. Promotes tissue regeneration after injury or trauma. After heart damage negatively regulates the recruitment of inflammatory cells and mediates cell survival through activation of anti-apoptotic signaling pathways via MAPKs and AKT pathways through the activation of angiogenesis. Also facilitates liver regeneration as well as bone repair by recruiting macrophage at trauma site and by promoting cartilage development by facilitating chondrocyte differentiation. Plays a role in brain by promoting neural precursor cells survival and growth through interaction with heparan sulfate proteoglycans. Binds PTPRZ1 and promotes neuronal migration and embryonic neurons survival. Binds SDC3 or GPC2 and mediates neurite outgrowth and cell adhesion. Binds chondroitin sulfate E and heparin leading to inhibition of neuronal cell adhesion induced by binding with GPC2. Binds CSPG5 and promotes elongation of oligodendroglial precursor-like cells. Also binds ITGA6:ITGB1 complex.this interaction mediates MDK-induced neurite outgrowth. Binds LRP1.promotes neuronal survival. Binds ITGA4:ITGB1 complex.this interaction mediates MDK-induced osteoblast cells migration through PXN phosphorylation. Binds anaplastic lymphoma kinase (ALK) which induces ALK activation and subsequent phosphorylation of the insulin receptor substrate (IRS1), followed by the activation of mitogen-activated protein kinase (MAPK) and PI3-kinase, and the induction of cell proliferation. Promotes epithelial to mesenchymal transition through interaction with NOTCH2. During arteriogenesis, plays a role in vascular endothelial cell proliferation by inducing VEGFA expression and release which in turn induces nitric oxide synthase expression. Moreover activates vasodilation through nitric oxide synthase activation. Negatively regulates bone formation in response to mechanical load by inhibiting Wnt/beta-catenin signaling in osteoblasts. In addition plays a role in hippocampal development, working memory, auditory response, early fetal adrenal gland development and the female reproductive system.
Protein Name Midkine
Mk
Amphiregulin-Associated Protein
Arap
Midgestation And Kidney Protein
Neurite Outgrowth-Promoting Factor 2
Neurite Outgrowth-Promoting Protein
Database Links Reactome: R-HSA-201556
Reactome: R-HSA-2979096
Reactome: R-HSA-9851151
Cellular Localisation Secreted
Alternative Antibody Names Anti-Midkine antibody
Anti-Mk antibody
Anti-Amphiregulin-Associated Protein antibody
Anti-Arap antibody
Anti-Midgestation And Kidney Protein antibody
Anti-Neurite Outgrowth-Promoting Factor 2 antibody
Anti-Neurite Outgrowth-Promoting Protein antibody
Anti-MDK antibody
Anti-MK1 antibody
Anti-NEGF2 antibody

Information sourced from Uniprot.org

Citations

Product Review

Well-cited Academic Publications
KO-Validated 700+ Lines
Technical Support Expert Scientific Team
1-Year Guarantee Antibodies & Proteins