Anti-Isocitrate dehydrogenase antibody (350-414) (STJ501386)

SPECIFICATIONS
ClonalityPolyclonal
HostRabbit
ConjugationUnconjugated
IsotypeIgG
ImmunogenSynthetic peptide taken within amino acid region 350-414 on human Isocitrate dehydrogenase.
STJ501386-100
๐Ÿšš Free UK Delivery on orders over ยฃ150
Processing The item has been added
Enquire For Bulk Order
✓ 1-Year Performance Guarantee | SDS & Datasheet Included | Expert Tech Support | Covered by St John's Laboratory Guarantee

General Information

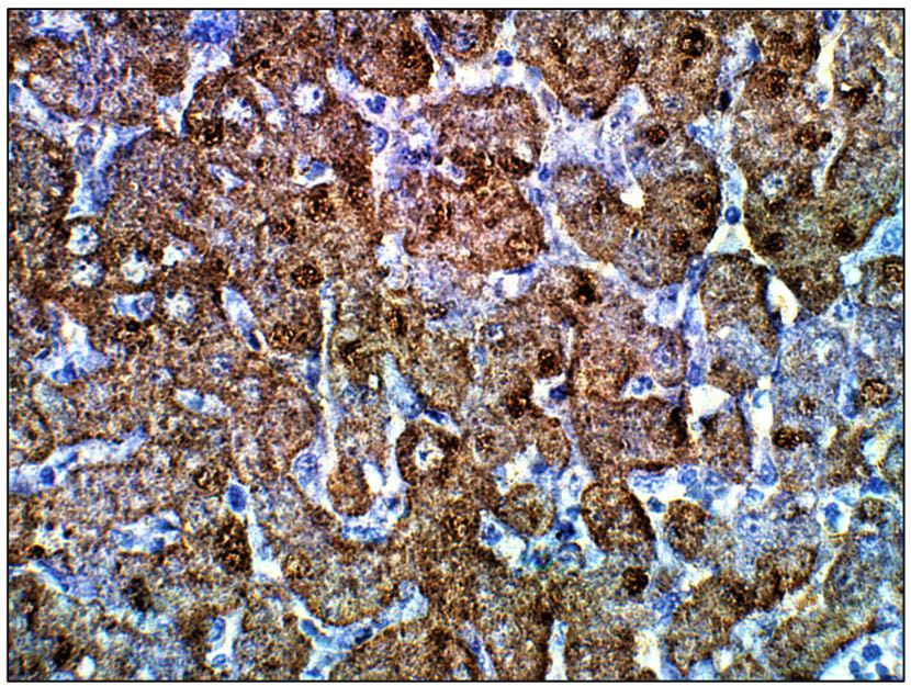
Short DescriptionRabbit polyclonal antibody anti-Isocitrate dehydrogenase (350-414) is suitable for use in Confocal Microscopy, ELISA, Immunofluorescence, Immunohistochemistry, Immunoprecipitation and Western Blot research applications.
ApplicationsCM/ELISA/IF/IHC/IP/WB
HostRabbit
ReactivityHuman/Mouse/Rat
NoteSTRICTLY FOR FURTHER SCIENTIFIC RESEARCH USE ONLY (RUO). MUST NOT TO BE USED IN DIAGNOSTIC OR THERAPEUTIC APPLICATIONS.

Product Properties

ClonalityPolyclonal
IsotypeIgG
ConjugationUnconjugated
Concentration0.61-0.63 ยตg/ยตl
PurificationAffinity Purified
Dilution RangeWB: 1:500
DB: 1:10, 000
ELISA: 1:10, 000
IP: 1:200
IHC: 1:100
ICC: 1:100
IF: 1:100
CFM: 1:100
FormulationContains Tris, HCl/Glycine buffer pH 7.4-7.8, 30% Glycerol and 0.5% BSA, along with cryo-protective agents, Hepes, and long-term preservatives (0.02% Sodium Azide).
Storage InstructionStore at-20ยฐC for long term storage. Avoid freeze-thaw cycles.

Target Information

ImmunogenSynthetic peptide taken within amino acid region 350-414 on human Isocitrate dehydrogenase.
Immunogen Region350-414

Additional Info

Background Catalytic activity: Isocitrate + NADP+ = 2-oxoglutarate + CO2 + NADPH.ย  Binds 1 magnesium or manganese ion per subunit as cofactor.

Information sourced from Uniprot.org

Citations

Product Review

Well-cited Academic Publications
KO-Validated 700+ Lines
Technical Support Expert Scientific Team
1-Year Guarantee Antibodies & Proteins