Anti-IKBKE antibody (1-100) [S5MR] (STJ11101875)

SPECIFICATIONS
ClonalityMonoclonal
HostRabbit
ConjugationUnconjugated
IsotypeIgG
STJ11101875
🚚 Free UK Delivery on orders over £150
Processing The item has been added
Enquire For Bulk Order
✓ 1-Year Performance Guarantee | SDS & Datasheet Included | Expert Tech Support | Covered by St John's Laboratory Guarantee

General Information

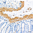
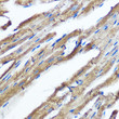
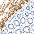
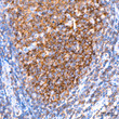
Short DescriptionRabbit monoclonal IKK Epsilon (1-100) antibody for use in WB, IHC-P and ELISA in human, mouse and rat samples. Datasheet included with dilution recommendations, and related reagents.
ApplicationsWB/IHC-P/ELISA
HostRabbit
ReactivityHuman/Mouse/Rat
NoteSTRICTLY FOR FURTHER SCIENTIFIC RESEARCH USE ONLY (RUO). MUST NOT TO BE USED IN DIAGNOSTIC OR THERAPEUTIC APPLICATIONS.

Product Properties

ClonalityMonoclonal
Clone IDS5MR
IsotypeIgG
ConjugationUnconjugated
ConcentrationLot specific
PurificationAffinity purification
Dilution RangeWB:1:500-1:2000
IHC-P:1:50-1:200
ELISA:Recommended starting concentration is 1 Mu g/mL. Please optimize the concentration based on your specific assay requirements.
FormulationPBS with 0.02% Sodium Azide, 0.05% BSA, 50% Glycerol, pH 7.3.
Storage InstructionStore at-20°C for up to 1 year from the date of receipt, and avoid repeat freeze-thaw cycles.

Target Information

Gene SymbolIKBKE
Gene ID9641
Uniprot IDIKKE_HUMAN
Immunogen Region1-100
Immunogen SequenceMQSTANYLWHTDDLLGQGAT ASVYKARNKKSGELVAVKVF NTTSYLRPREVQVREFEVLR KLNHQNIVKLFAVEETGGSR QKVLVMEYCSSGSLLSVLES
SpecificityA synthetic peptide corresponding to a sequence within amino acids 1-100 of human IKK Epsilon (Q14164).

Additional Info

Tissue Specificity Highly expressed in spleen followed by thymus, peripheral blood leukocytes, pancreas, placenta. Weakly expressed in lung, kidney, prostate, ovary and colon.
Post Translational Modifications Autophosphorylated and phosphorylated by IKBKB/IKKB. Phosphorylation at Ser-172 is enhanced by the interaction with DDX3X. Phosphorylated at Thr-501 upon IFN activation. Sumoylation by TOPORS upon DNA damage is required for protection of cells against DNA damage-induced cell death. Desumoylated by SENP1. 'Lys-63'-linked polyubiquitinated at Lys-30 and Lys-401 by TRAF2:BIRC2 and TRAF2:BIRC3 complexes. Ubiquitination is induced by LPS, TNFA and interleukin-1 and required for full kinase activity and KF-kappa-B pathway activation.
Function Serine/threonine kinase that plays an essential role in regulating inflammatory responses to viral infection, through the activation of the type I IFN, NF-kappa-B and STAT signaling. Also involved in TNFA and inflammatory cytokines, like Interleukin-1, signaling. Following activation of viral RNA sensors, such as RIG-I-like receptors, associates with DDX3X and phosphorylates interferon regulatory factors (IRFs), IRF3 and IRF7, as well as DDX3X. This activity allows subsequent homodimerization and nuclear translocation of the IRF3 leading to transcriptional activation of pro-inflammatory and antiviral genes including IFNB. In order to establish such an antiviral state, IKBKE forms several different complexes whose composition depends on the type of cell and cellular stimuli. Thus, several scaffolding molecules including IPS1/MAVS, TANK, AZI2/NAP1 or TBKBP1/SINTBAD can be recruited to the IKBKE-containing-complexes. Activated by polyubiquitination in response to TNFA and interleukin-1, regulates the NF-kappa-B signaling pathway through, at least, the phosphorylation of CYLD. Phosphorylates inhibitors of NF-kappa-B thus leading to the dissociation of the inhibitor/NF-kappa-B complex and ultimately the degradation of the inhibitor. In addition, is also required for the induction of a subset of ISGs which displays antiviral activity, may be through the phosphorylation of STAT1 at 'Ser-708'. Phosphorylation of STAT1 at 'Ser-708' also seems to promote the assembly and DNA binding of ISGF3 (STAT1:STAT2:IRF9) complexes compared to GAF (STAT1:STAT1) complexes, in this way regulating the balance between type I and type II IFN responses. Protects cells against DNA damage-induced cell death. Also plays an important role in energy balance regulation by sustaining a state of chronic, low-grade inflammation in obesity, wich leads to a negative impact on insulin sensitivity. Phosphorylates AKT1.
Protein Name Inhibitor Of Nuclear Factor Kappa-B Kinase Subunit Epsilon
I-Kappa-B Kinase Epsilon
Ikk-E
Ikk-Epsilon
Ikbke
Inducible I Kappa-B Kinase
Ikk-I
Database Links Reactome: R-HSA-4755510
Reactome: R-HSA-5357786
Reactome: R-HSA-5357905
Reactome: R-HSA-9013973
Reactome: R-HSA-918233
Reactome: R-HSA-933541
Reactome: R-HSA-936440
Reactome: R-HSA-936964
Reactome: R-HSA-9692916
Reactome: R-HSA-9705671
Reactome: R-HSA-9824878
Reactome: R-HSA-9828211
Reactome: R-HSA-9860927
Cellular Localisation Cytoplasm
Nucleus
Pml Body
Targeting To Pml Nuclear Bodies Upon Dna Damage Is Topors-Dependent
Located Diffusely Throughout The Cytoplasm But Locates To Punctate Cytoplasmic Bodies When Coexpressed With Trim6
Alternative Antibody Names Anti-Inhibitor Of Nuclear Factor Kappa-B Kinase Subunit Epsilon antibody
Anti-I-Kappa-B Kinase Epsilon antibody
Anti-Ikk-E antibody
Anti-Ikk-Epsilon antibody
Anti-Ikbke antibody
Anti-Inducible I Kappa-B Kinase antibody
Anti-Ikk-I antibody
Anti-IKBKE antibody
Anti-IKKE antibody
Anti-IKKI antibody
Anti-KIAA0151 antibody

Information sourced from Uniprot.org

Citations

Product Review