Anti-HNRNPUL2 antibody (601-650 aa) (STJ95573)

SPECIFICATIONS
ClonalityPolyclonal
HostRabbit
ConjugationUnconjugated
IsotypeIgG
ImmunogenThe antiserum was produced against synthesized peptide derived from the human HNRNPUL2 at the amino acid range 601-650
STJ95573
🚚 Free UK Delivery on orders over £150
Processing The item has been added
Enquire For Bulk Order
✓ 1-Year Performance Guarantee | SDS & Datasheet Included | Expert Tech Support | Covered by St John's Laboratory Guarantee

General Information

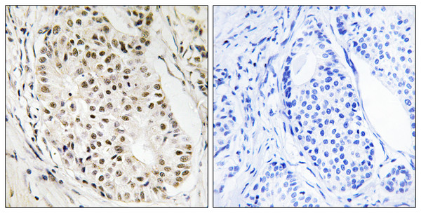
Short DescriptionRabbit polyclonal anti-Heterogeneous nuclear ribonucleoprotein U-like protein 2 (601-650 aa) for use in WB, IHC, IF and ELISA in Human and Mouse samples. Datasheet included with dilution recommendations, and related reagents.
ApplicationsWB/IHC/IF/ELISA
HostRabbit
ReactivityHuman/Mouse
NoteSTRICTLY FOR FURTHER SCIENTIFIC RESEARCH USE ONLY (RUO). MUST NOT TO BE USED IN DIAGNOSTIC OR THERAPEUTIC APPLICATIONS.

Product Properties

ClonalityPolyclonal
IsotypeIgG
ConjugationUnconjugated
Concentration1 mg/mL
PurificationThe antibody was affinity-purified from rabbit antiserum by affinity-chromatography using epitope-specific immunogen.
Dilution RangeWB 1:500-1:2000
IHC 1:100-1:300
ELISA 1:40000
IF 1:50-200
FormulationLiquid in PBS containing 50% Glycerol, 0.5% BSA and 0.02% Sodium Azide.
Storage InstructionStore at-20°C for up to 1 year from the date of receipt, and avoid repeat freeze-thaw cycles.

Target Information

Gene SymbolHNRNPUL2
Gene ID221092
Uniprot IDHNRL2_HUMAN
ImmunogenThe antiserum was produced against synthesized peptide derived from the human HNRNPUL2 at the amino acid range 601-650
Immunogen Region601-650 aa
SpecificitySAF-A2 Polyclonal Antibody detects endogenous levels of SAF-A2 protein.

Additional Info

Database Links
Cellular Localisation Nucleus
Alternative Antibody Names Anti-Heterogeneous Nuclear Ribonucleoprotein U-Like Protein 2 antibody
Anti-Scaffold-Attachment Factor A2 antibody
Anti-Saf-A2 antibody
Anti-HNRNPUL2 antibody
Anti-HNRPUL2 antibody

Information sourced from Uniprot.org

Citations

Product Review

Well-cited Academic Publications
KO-Validated 700+ Lines
Technical Support Expert Scientific Team
1-Year Guarantee Antibodies & Proteins