| Host: | Rabbit |
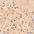
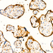
| Applications: | WB/IHC-P/ELISA |
| Reactivity: | Human/Mouse/Rat |
| Note: | STRICTLY FOR FURTHER SCIENTIFIC RESEARCH USE ONLY (RUO). MUST NOT TO BE USED IN DIAGNOSTIC OR THERAPEUTIC APPLICATIONS. |
| Clonality : | Monoclonal |
| Clone ID : | S9MR |
| Conjugation: | Unconjugated |
| Isotype: | IgG |
| Formulation: | PBS with 0.02% Sodium Azide, 0.05% BSA, 50% Glycerol, pH 7.3. |
| Purification: | Affinity purification |
| Concentration: | Lot specific |
| Dilution Range: | WB:1:500-1:1000IHC-P:1:500-1:2000ELISA:Recommended starting concentration is 1 Mu g/mL. Please optimize the concentration based on your specific assay requirements. |
| Storage Instruction: | Store at-20°C for up to 1 year from the date of receipt, and avoid repeat freeze-thaw cycles. |
| Gene Symbol: | GSTP1 |
| Gene ID: | 2950 |
| Uniprot ID: | GSTP1_HUMAN |
| Immunogen Region: | 100-201 |
| Specificity: | Recombinant fusion protein containing a sequence corresponding to amino acids 100-201 of human GST3/GSTP1 (P09211). |
| Immunogen Sequence: | LRCKYISLIYTNYEAGKDDY VKALPGQLKPFETLLSQNQG GKTFIVGDQISFADYNLLDL LLIHEVLAPGCLDAFPLLSA YVGRLSARPKLKAFLASPEY VN |
| Function | Conjugation of reduced glutathione to a wide number of exogenous and endogenous hydrophobic electrophiles. Involved in the formation of glutathione conjugates of both prostaglandin A2 (PGA2) and prostaglandin J2 (PGJ2). Participates in the formation of novel hepoxilin regioisomers. Negatively regulates CDK5 activity via p25/p35 translocation to prevent neurodegeneration. |
| Protein Name | Glutathione S-Transferase PGst Class-PiGstp1-1 |
| Database Links | Reactome: R-HSA-156590Reactome: R-HSA-3299685Reactome: R-HSA-6798695Reactome: R-HSA-9753281 |
| Cellular Localisation | CytoplasmMitochondrionNucleusThe 83 N-Terminal Amino Acids Function As Un Uncleaved Transit PeptideAnd Arginine Residues Within It Are Crucial For Mitochondrial Localization |
| Alternative Antibody Names | Anti-Glutathione S-Transferase P antibodyAnti-Gst Class-Pi antibodyAnti-Gstp1-1 antibodyAnti-GSTP1 antibodyAnti-FAEES3 antibodyAnti-GST3 antibody |
Information sourced from Uniprot.org

