Anti-GSK3A antibody [6G2F1/6G2F2] (STJ98117)

SPECIFICATIONS
ClonalityMonoclonal
HostMouse
ConjugationUnconjugated
ImmunogenPurified recombinant fragment of GSK3 Alpha expressed in E. Coli.
STJ98117
🚚 Free UK Delivery on orders over £150
Processing The item has been added
Enquire For Bulk Order
✓ 1-Year Performance Guarantee | SDS & Datasheet Included | Expert Tech Support | Covered by St John's Laboratory Guarantee

General Information

Short DescriptionMouse monoclonal anti-Glycogen synthase kinase-3 alpha for use in WB, IHC, IF and ELISA in Human samples. Datasheet included with dilution recommendations, and related reagents.
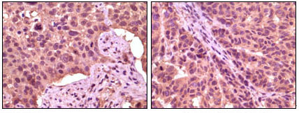
ApplicationsWB/IHC/IF/ELISA
HostMouse
ReactivityHuman
NoteSTRICTLY FOR FURTHER SCIENTIFIC RESEARCH USE ONLY (RUO). MUST NOT TO BE USED IN DIAGNOSTIC OR THERAPEUTIC APPLICATIONS.

Product Properties

ClonalityMonoclonal
Clone ID6G2F1/6G2F2
ConjugationUnconjugated
PurificationAffinity purification
Dilution RangeWB 1:500-1:2000
IHC 1:200-1:1000
ELISA 1:10000
IF 1:50-200
FormulationLiquid in PBS containing 0.03% Sodium Azide, 0.5% BSA, 50% Glycerol.
Storage InstructionStore at-20°C for up to 1 year from the date of receipt, and avoid repeat freeze-thaw cycles.

Target Information

Gene SymbolGSK3A
Gene ID2931
Uniprot IDGSK3A_HUMAN
ImmunogenPurified recombinant fragment of GSK3 Alpha expressed in E. Coli.
SpecificityGSK3 Alpha Monoclonal Antibody detects endogenous levels of GSK3 Alpha protein.

Additional Info

Function Constitutively active protein kinase that acts as a negative regulator in the hormonal control of glucose homeostasis, Wnt signaling and regulation of transcription factors and microtubules, by phosphorylating and inactivating glycogen synthase (GYS1 or GYS2), CTNNB1/beta-catenin, APC and AXIN1. Requires primed phosphorylation of the majority of its substrates. Contributes to insulin regulation of glycogen synthesis by phosphorylating and inhibiting GYS1 activity and hence glycogen synthesis. Regulates glycogen metabolism in liver, but not in muscle. May also mediate the development of insulin resistance by regulating activation of transcription factors. In Wnt signaling, regulates the level and transcriptional activity of nuclear CTNNB1/beta-catenin. Facilitates amyloid precursor protein (APP) processing and the generation of APP-derived amyloid plaques found in Alzheimer disease. May be involved in the regulation of replication in pancreatic beta-cells. Is necessary for the establishment of neuronal polarity and axon outgrowth. Through phosphorylation of the anti-apoptotic protein MCL1, may control cell apoptosis in response to growth factors deprivation. Acts as a regulator of autophagy by mediating phosphorylation of KAT5/TIP60 under starvation conditions which activates KAT5/TIP60 acetyltransferase activity and promotes acetylation of key autophagy regulators, such as ULK1 and RUBCNL/Pacer. Negatively regulates extrinsic apoptotic signaling pathway via death domain receptors. Promotes the formation of an anti-apoptotic complex, made of DDX3X, BRIC2 and GSK3B, at death receptors, including TNFRSF10B. The anti-apoptotic function is most effective with weak apoptotic signals and can be overcome by stronger stimulation. Phosphorylates mTORC2 complex component RICTOR at 'Thr-1695' which facilitates FBXW7-mediated ubiquitination and subsequent degradation of RICTOR.
Protein Name Glycogen Synthase Kinase-3 Alpha
Gsk-3 Alpha
Serine/Threonine-Protein Kinase Gsk3a
Database Links Reactome: R-HSA-198323
Reactome: R-HSA-381038
Reactome: R-HSA-5674400
Reactome: R-HSA-9635465
Reactome: R-HSA-9683610
Reactome: R-HSA-9694631
Cellular Localisation
Alternative Antibody Names Anti-Glycogen Synthase Kinase-3 Alpha antibody
Anti-Gsk-3 Alpha antibody
Anti-Serine/Threonine-Protein Kinase Gsk3a antibody
Anti-GSK3A antibody

Information sourced from Uniprot.org

Citations

Product Review

Well-cited Academic Publications
KO-Validated 700+ Lines
Technical Support Expert Scientific Team
1-Year Guarantee Antibodies & Proteins