Anti-Estrogen Receptor alpha antibody [SM0443] (STJA0010443)

SPECIFICATIONS
ClonalityMonoclonal
HostMouse
ConjugationUnconjugated
IsotypeIgG1k
ImmunogenKLH conjugated Synthetic peptide corresponding to Human ESR1
STJA0010443
🚚 Free UK Delivery on orders over £150
Processing The item has been added
Enquire For Bulk Order
✓ 1-Year Performance Guarantee | SDS & Datasheet Included | Expert Tech Support | Covered by St John's Laboratory Guarantee

General Information

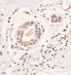
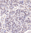
Short DescriptionMouse monoclonal anti-Estrogen Receptor alpha for use in IHC and IF in Human, Mouse and Rat samples. Datasheet included with dilution recommendations, and related reagents.
ApplicationsIHC/IF
HostMouse
ReactivityHuman/Mouse/Rat
NoteSTRICTLY FOR FURTHER SCIENTIFIC RESEARCH USE ONLY (RUO). MUST NOT TO BE USED IN DIAGNOSTIC OR THERAPEUTIC APPLICATIONS.

Product Properties

ClonalityMonoclonal
Clone IDSM0443
IsotypeIgG1k
ConjugationUnconjugated
PurificationAffinity purification
Dilution RangeIHC/IF (H, M, R) 1:500-1:1500
FormulationPBS with 0.15% ProClin300, 100 Mu g/mL BSA and 50% glycerol.
Storage InstructionStore at-20C for up to one year, and avoid repeated freeze-thaw cycles.

Target Information

Gene SymbolESR1
Gene ID2099
Uniprot IDESR1_HUMAN
ImmunogenKLH conjugated Synthetic peptide corresponding to Human ESR1

Additional Info

Post Translational Modifications Phosphorylated by cyclin A/CDK2 and CK1. Phosphorylation probably enhances transcriptional activity. Self-association induces phosphorylation. Dephosphorylation at Ser-118 by PPP5C inhibits its transactivation activity. Phosphorylated by LMTK3 in vitro. Glycosylated.contains N-acetylglucosamine, probably O-linked. Ubiquitinated.regulated by LATS1 via DCAF1 it leads to ESR1 proteasomal degradation. Deubiquitinated by OTUB1. Ubiquitinated by STUB1/CHIP.in the CA1 hippocampal region following loss of endogenous circulating estradiol (17-beta-estradiol/E2). Ubiquitinated by UBR5, leading to its degradation: UBR5 specifically recognizes and binds ligand-bound ESR1 when it is not associated with coactivators (NCOAs). In presence of NCOAs, the UBR5-degron is not accessible, preventing its ubiquitination and degradation. Dimethylated by PRMT1 at Arg-260. The methylation may favor cytoplasmic localization. Demethylated by JMJD6 at Arg-260. Palmitoylated (isoform 3). Not biotinylated (isoform 3). Palmitoylated by ZDHHC7 and ZDHHC21. Palmitoylation is required for plasma membrane targeting and for rapid intracellular signaling via ERK and AKT kinases and cAMP generation, but not for signaling mediated by the nuclear hormone receptor.
Function Nuclear hormone receptor. The steroid hormones and their receptors are involved in the regulation of eukaryotic gene expression and affect cellular proliferation and differentiation in target tissues. Ligand-dependent nuclear transactivation involves either direct homodimer binding to a palindromic estrogen response element (ERE) sequence or association with other DNA-binding transcription factors, such as AP-1/c-Jun, c-Fos, ATF-2, Sp1 and Sp3, to mediate ERE-independent signaling. Ligand binding induces a conformational change allowing subsequent or combinatorial association with multiprotein coactivator complexes through LXXLL motifs of their respective components. Mutual transrepression occurs between the estrogen receptor (ER) and NF-kappa-B in a cell-type specific manner. Decreases NF-kappa-B DNA-binding activity and inhibits NF-kappa-B-mediated transcription from the IL6 promoter and displace RELA/p65 and associated coregulators from the promoter. Recruited to the NF-kappa-B response element of the CCL2 and IL8 promoters and can displace CREBBP. Present with NF-kappa-B components RELA/p65 and NFKB1/p50 on ERE sequences. Can also act synergistically with NF-kappa-B to activate transcription involving respective recruitment adjacent response elements.the function involves CREBBP. Can activate the transcriptional activity of TFF1. Also mediates membrane-initiated estrogen signaling involving various kinase cascades. Essential for MTA1-mediated transcriptional regulation of BRCA1 and BCAS3. Maintains neuronal survival in response to ischemic reperfusion injury when in the presence of circulating estradiol (17-beta-estradiol/E2). Isoform 3: Involved in activation of NOS3 and endothelial nitric oxide production. Isoforms lacking one or several functional domains are thought to modulate transcriptional activity by competitive ligand or DNA binding and/or heterodimerization with the full-length receptor. Binds to ERE and inhibits isoform 1.
Protein Name Estrogen Receptor
Er
Er-Alpha
Estradiol Receptor
Nuclear Receptor Subfamily 3 Group A Member 1
Database Links Reactome: R-HSA-1251985
Reactome: R-HSA-1257604
Reactome: R-HSA-2219530
Reactome: R-HSA-383280
Reactome: R-HSA-4090294
Reactome: R-HSA-5689896
Reactome: R-HSA-6811558
Reactome: R-HSA-8866910
Reactome: R-HSA-8931987
Reactome: R-HSA-8939211
Reactome: R-HSA-8939256
Reactome: R-HSA-8939902
Reactome: R-HSA-9009391
Reactome: R-HSA-9018519
Reactome: R-HSA-9841251
Cellular Localisation Isoform 1: Nucleus
Cytoplasm
Cell Membrane
Peripheral Membrane Protein
Cytoplasmic Side
A Minor Fraction Is Associated With The Inner Membrane
Isoform 3: Nucleus
Single-Pass Type I Membrane Protein
Associated With The Inner Membrane Via Palmitoylation (Probable)
At Least A Subset Exists As A Transmembrane Protein With A N-Terminal Extracellular Domain
Nucleus
Golgi Apparatus
Colocalizes With Zdhhc7 And Zdhhc21 In The Golgi Apparatus Where Most Probably Palmitoylation Occurs
Associated With The Plasma Membrane When Palmitoylated
Alternative Antibody Names Anti-Estrogen Receptor antibody
Anti-Er antibody
Anti-Er-Alpha antibody
Anti-Estradiol Receptor antibody
Anti-Nuclear Receptor Subfamily 3 Group A Member 1 antibody
Anti-ESR1 antibody
Anti-ESR antibody
Anti-NR3A1 antibody

Information sourced from Uniprot.org

Citations

Product Review