Anti-DLC1 antibody (61-110 aa) (STJ92721)

SPECIFICATIONS
ClonalityPolyclonal
HostRabbit
ConjugationUnconjugated
IsotypeIgG
ImmunogenThe antiserum was produced against synthesized peptide derived from the human RHG07 at the amino acid range 61-110
STJ92721
🚚 Free UK Delivery on orders over £150
Processing The item has been added
Enquire For Bulk Order
✓ 1-Year Performance Guarantee | SDS & Datasheet Included | Expert Tech Support | Covered by St John's Laboratory Guarantee

General Information

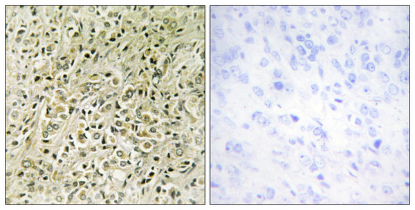
Short DescriptionRabbit polyclonal anti-Rho GTPase-activating protein 7 (61-110 aa) for use in IHC, IF and ELISA in Human, Mouse and Rat samples. Datasheet included with dilution recommendations, and related reagents.
ApplicationsIHC/IF/ELISA
HostRabbit
ReactivityHuman/Mouse/Rat
NoteSTRICTLY FOR FURTHER SCIENTIFIC RESEARCH USE ONLY (RUO). MUST NOT TO BE USED IN DIAGNOSTIC OR THERAPEUTIC APPLICATIONS.

Product Properties

ClonalityPolyclonal
IsotypeIgG
ConjugationUnconjugated
Concentration1 mg/mL
PurificationThe antibody was affinity-purified from rabbit antiserum by affinity-chromatography using epitope-specific immunogen.
Dilution RangeIHC 1:100-1:300
IF 1:200-1:1000
ELISA 1:10000
FormulationLiquid in PBS containing 50% Glycerol, 0.5% BSA and 0.02% Sodium Azide.
Storage InstructionStore at-20°C for up to 1 year from the date of receipt, and avoid repeat freeze-thaw cycles.

Target Information

Gene SymbolDLC1
Gene ID10395
Uniprot IDRHG07_HUMAN
ImmunogenThe antiserum was produced against synthesized peptide derived from the human RHG07 at the amino acid range 61-110
Immunogen Region61-110 aa
SpecificityDLC-1 Polyclonal Antibody detects endogenous levels of DLC-1 protein.

Additional Info

Function Functions as a GTPase-activating protein for the small GTPases RHOA, RHOB, RHOC and CDC42, terminating their downstream signaling. This induces morphological changes and detachment through cytoskeletal reorganization, playing a critical role in biological processes such as cell migration and proliferation. Also functions in vivo as an activator of the phospholipase PLCD1. Active DLC1 increases cell migration velocity but reduces directionality. Required for growth factor-induced epithelial cell migration.in resting cells, interacts with TNS3 while PTEN interacts with the p85 regulatory subunit of the PI3K kinase complex but growth factor stimulation induces phosphorylation of TNS3 and PTEN, causing them to change their binding preference so that PTEN interacts with DLC1 and TNS3 interacts with p85. The PTEN-DLC1 complex translocates to the posterior of migrating cells to activate RHOA while the TNS3-p85 complex translocates to the leading edge of migrating cells to promote RAC1 activation.
Protein Name Rho Gtpase-Activating Protein 7
Deleted In Liver Cancer 1 Protein
Dlc-1
Hp Protein
Rho-Type Gtpase-Activating Protein 7
Start Domain-Containing Protein 12
Stard12
Star-Related Lipid Transfer Protein 12
Database Links Reactome: R-HSA-8980692
Reactome: R-HSA-9013026
Reactome: R-HSA-9013106
Reactome: R-HSA-9013148
Reactome: R-HSA-9013149
Reactome: R-HSA-9013406
Cellular Localisation Cytoplasm
Cell Junction
Focal Adhesion
Membrane
Peripheral Membrane Protein
Colocalizes With Ef1a1 At Actin-Rich Regions In The Cell Periphery
Alternative Antibody Names Anti-Rho Gtpase-Activating Protein 7 antibody
Anti-Deleted In Liver Cancer 1 Protein antibody
Anti-Dlc-1 antibody
Anti-Hp Protein antibody
Anti-Rho-Type Gtpase-Activating Protein 7 antibody
Anti-Start Domain-Containing Protein 12 antibody
Anti-Stard12 antibody
Anti-Star-Related Lipid Transfer Protein 12 antibody
Anti-DLC1 antibody
Anti-ARHGAP7 antibody
Anti-KIAA1723 antibody
Anti-STARD12 antibody

Information sourced from Uniprot.org

Citations

Product Review

Well-cited Academic Publications
KO-Validated 700+ Lines
Technical Support Expert Scientific Team
1-Year Guarantee Antibodies & Proteins