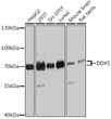
Anti-DDX5 antibody (1-614) (STJ115258)

SPECIFICATIONS
ClonalityPolyclonal
HostRabbit
ConjugationUnconjugated
IsotypeIgG
STJ115258
🚚 Free UK Delivery on orders over £150
Processing The item has been added
Enquire For Bulk Order
✓ 1-Year Performance Guarantee | SDS & Datasheet Included | Expert Tech Support | Covered by St John's Laboratory Guarantee

General Information

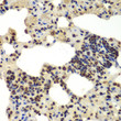
Short DescriptionRabbit polyclonal DDX5 (1-614) antibody for use in WB, IHC-P and ELISA in human, mouse and rat samples. Datasheet included with dilution recommendations, and related reagents.
ApplicationsWB/IHC-P/ELISA
HostRabbit
ReactivityHuman/Mouse/Rat
NoteSTRICTLY FOR FURTHER SCIENTIFIC RESEARCH USE ONLY (RUO). MUST NOT TO BE USED IN DIAGNOSTIC OR THERAPEUTIC APPLICATIONS.

Product Properties

ClonalityPolyclonal
IsotypeIgG
ConjugationUnconjugated
ConcentrationLot specific
PurificationAffinity purification
Dilution RangeWB:1:500-1:2000
IHC-P:1:50-1:200
ELISA:Recommended starting concentration is 1 Mu g/mL. Please optimize the concentration based on your specific assay requirements.
FormulationPBS with 0.02% Sodium Azide, 50% Glycerol, pH 7.3.
Storage InstructionStore at-20°C for up to 1 year from the date of receipt, and avoid repeat freeze-thaw cycles.

Target Information

Gene SymbolDDX5
Gene ID1655
Uniprot IDDDX5_HUMAN
Immunogen Region1-614
Immunogen SequenceMSGYSSDRDRGRDRGFGAPR FGGSRAGPLSGKKFGNPGEK LVKKKWNLDELPKFEKNFYQ EHPDLARRTAQEVETYRRSK EITVRGHNCPKPVLNFYEAN FPANVMDVIARQNFTEPTAI QAQGWPVALSGLDMVGVAQT GSGKTLSYLLPAIVHINHQP FLERGDGPICLVLAPTRELA QQVQQVAAEYCRACRLKSTC IYGGAPKGPQIRDLERGVEI CIATPGRLIDFLECGKTNL
SpecificityRecombinant fusion protein containing a sequence corresponding to amino acids 1-614 of human DDX5 (NP_004387.1).

Additional Info

Post Translational Modifications Arg-502 is dimethylated, probably to asymmetric dimethylarginine. Sumoylated.sumoylation, promoted by PIAS1, promotes interaction with HDAC1 and transcriptional repression activity. Sumoylation also significantly increases stability, and reduces polyubiquitination. Polyubiquitinated, leading to proteasomal degradation. Weakly phosphorylated in the G1/S phase of the cell cycle and much more at G2/M, especially at Thr and Tyr residues.
Function Involved in the alternative regulation of pre-mRNA splicing.its RNA helicase activity is necessary for increasing tau exon 10 inclusion and occurs in a RBM4-dependent manner. Binds to the tau pre-mRNA in the stem-loop region downstream of exon 10. The rate of ATP hydrolysis is highly stimulated by single-stranded RNA. Involved in transcriptional regulation.the function is independent of the RNA helicase activity. Transcriptional coactivator for androgen receptor AR but probably not ESR1. Synergizes with DDX17 and SRA1 RNA to activate MYOD1 transcriptional activity and involved in skeletal muscle differentiation. Transcriptional coactivator for p53/TP53 and involved in p53/TP53 transcriptional response to DNA damage and p53/TP53-dependent apoptosis. Transcriptional coactivator for RUNX2 and involved in regulation of osteoblast differentiation. Acts as a transcriptional repressor in a promoter-specific manner.the function probably involves association with histone deacetylases, such as HDAC1. As component of a large PER complex is involved in the inhibition of 3' transcriptional termination of circadian target genes such as PER1 and NR1D1 and the control of the circadian rhythms.
Protein Name Probable Atp-Dependent Rna Helicase Ddx5
Dead Box Protein 5
Rna Helicase P68
Database Links Reactome: R-HSA-3899300
Reactome: R-HSA-72163
Reactome: R-HSA-9018519
Reactome: R-HSA-9682706
Reactome: R-HSA-9694686
Cellular Localisation Nucleus
Nucleolus
Nucleus Speckle
Cytoplasm
During The G0 Phase
Predominantly Located In The Nucleus
Cytoplasmic Levels Increase During The G1/S Phase
During The M Phase
Located At The Vicinity Of The Condensed Chromosomes
At G1
Localizes In The Cytoplasm
Alternative Antibody Names Anti-Probable Atp-Dependent Rna Helicase Ddx5 antibody
Anti-Dead Box Protein 5 antibody
Anti-Rna Helicase P68 antibody
Anti-DDX5 antibody
Anti-G17P1 antibody
Anti-HELR antibody
Anti-HLR1 antibody

Information sourced from Uniprot.org

Citations

Product Review

Well-cited Academic Publications
KO-Validated 700+ Lines
Technical Support Expert Scientific Team
1-Year Guarantee Antibodies & Proteins