Anti-COX15 antibody (150-250) (STJ116869)

SPECIFICATIONS
ClonalityPolyclonal
HostRabbit
ConjugationUnconjugated
IsotypeIgG
STJ116869
๐Ÿšš Free UK Delivery on orders over ยฃ150
Processing The item has been added
Enquire For Bulk Order
✓ 1-Year Performance Guarantee | SDS & Datasheet Included | Expert Tech Support | Covered by St John's Laboratory Guarantee

General Information

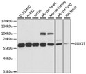
Short DescriptionRabbit polyclonal COX15 (150-250) antibody for use in WB, IHC-P, IF, ICC and ELISA in human, mouse and rat samples. Datasheet included with dilution recommendations, and related reagents.
ApplicationsWB/IHC-P/IF/ICC/ELISA
HostRabbit
ReactivityHuman/Mouse/Rat
NoteSTRICTLY FOR FURTHER SCIENTIFIC RESEARCH USE ONLY (RUO). MUST NOT TO BE USED IN DIAGNOSTIC OR THERAPEUTIC APPLICATIONS.

Product Properties

ClonalityPolyclonal
IsotypeIgG
ConjugationUnconjugated
ConcentrationLot specific
PurificationAffinity purification
Dilution RangeWB:1:500-1:2000
IHC-P:1:50-1:100
IF/ICC:1:50-1:100
ELISA:Recommended starting concentration is 1 Mu g/mL. Please optimize the concentration based on your specific assay requirements.
FormulationPBS with 0.01% Thimerosal, 50% Glycerol, pH 7.3.
Storage InstructionStore at-20ยฐC for up to 1 year from the date of receipt, and avoid repeat freeze-thaw cycles.

Target Information

Gene SymbolCOX15
Gene ID1355
Uniprot IDCOX15_HUMAN
Immunogen Region150-250
Immunogen SequenceYSHRMWGRLVGLVYILPAAY FWRKGWLSRGMKGRVLALCG LVCFQGLLGWYMVKSGLEEK SDSHDIPRVSQYRLAAHLGS ALVLYCASLWTSLSLLLPPH K
SpecificityA synthetic peptide corresponding to a sequence within amino acids 150-250 of human COX15 (NP_510870.1).

Additional Info

Tissue Specificity Predominantly found in tissues characterized by high rates of oxidative phosphorylation (OxPhos), including muscle, heart, and brain.
Function Catalyzes the second reaction in the biosynthesis of heme A, a prosthetic group of mitochondrial cytochrome c oxidase (CcO). Heme A is synthesized from heme B by two sequential enzymatic reactions catalyzed by heme O synthase (HOS) and heme A synthase (HAS). HAS catalyzes the conversion of heme O to heme A by two successive hydroxylations of the methyl group at C8, in a reaction that involves matrix ferredoxin and ferredoxin reductase. The first hydroxylation forms heme I, the second hydroxylation results in an unstable dihydroxymethyl group, which spontaneously dehydrates, resulting in the formyl group of heme A.
Protein Name Heme A Synthase Cox15
Has
Cytochrome C Oxidase Assembly Protein Cox15 Homolog
Database Links Reactome: R-HSA-189451
Reactome: R-HSA-9864848
Cellular Localisation Mitochondrion Inner Membrane
Multi-Pass Membrane Protein
Alternative Antibody Names Anti-Heme A Synthase Cox15 antibody
Anti-Has antibody
Anti-Cytochrome C Oxidase Assembly Protein Cox15 Homolog antibody
Anti-COX15 antibody

Information sourced from Uniprot.org

Citations

Product Review