Anti-COX IV antibody [SM5083] (STJA0005083)

SPECIFICATIONS
ClonalityMonoclonal
HostMouse
ConjugationUnconjugated
IsotypeIgG2a
ImmunogenRecombinant protein corresponding to Mouse COX IV
STJA0005083
🚚 Free UK Delivery on orders over £150
Processing The item has been added
Enquire For Bulk Order
✓ 1-Year Performance Guarantee | SDS & Datasheet Included | Expert Tech Support | Covered by St John's Laboratory Guarantee

General Information

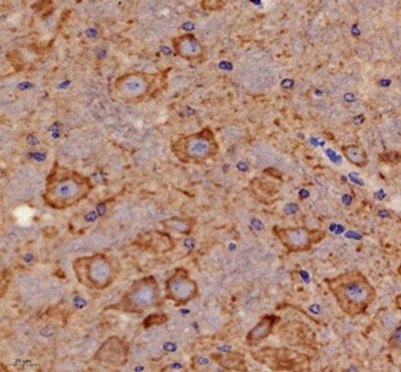
Short DescriptionMouse monoclonal anti-COX IV for use in WB, IHC, IF and ICC in Mouse and Rat samples. Datasheet included with dilution recommendations, and related reagents.
ApplicationsWB/IHC/IF/ICC
HostMouse
ReactivityMouse/Rat
NoteSTRICTLY FOR FURTHER SCIENTIFIC RESEARCH USE ONLY (RUO). MUST NOT TO BE USED IN DIAGNOSTIC OR THERAPEUTIC APPLICATIONS.

Product Properties

ClonalityMonoclonal
Clone IDSM5083
IsotypeIgG2a
ConjugationUnconjugated
PurificationAffinity purification
Dilution RangeWB (M, R) 1:1000-1:2000
IHC/IF (M, R) 1:1000-1:2000
ICC/IF (M) 1:150-1:200
FormulationPBS with 0.02% sodium azide, 100 Mu g/ml BSA and 50% glycerol.
Storage InstructionStore at-20C for up to one year, and avoid repeated freeze-thaw cycles.

Target Information

Gene SymbolCox4i1
Gene ID12857
Uniprot IDCOX41_MOUSE
ImmunogenRecombinant protein corresponding to Mouse COX IV

Additional Info

Protein Name Cytochrome C Oxidase Subunit 4 Isoform 1 - Mitochondrial
Cytochrome C Oxidase Polypeptide Iv
Cytochrome C Oxidase Subunit Iv Isoform 1
Cox Iv-1
Database Links Reactome: R-MMU-5628897
Reactome: -MMU-611105
Reactome: -MMU-9707564
Reactome: -MMU-9864848
Cellular Localisation Mitochondrion Inner Membrane
Single-Pass Membrane Protein
Alternative Antibody Names Anti-Cytochrome C Oxidase Subunit 4 Isoform 1 - Mitochondrial antibody
Anti-Cytochrome C Oxidase Polypeptide Iv antibody
Anti-Cytochrome C Oxidase Subunit Iv Isoform 1 antibody
Anti-Cox Iv-1 antibody
Anti-Cox4i1 antibody
Anti-Cox4 antibody
Anti-Cox4a antibody
Anti-Coxiv antibody

Information sourced from Uniprot.org

Citations

Product Review

Well-cited Academic Publications
KO-Validated 700+ Lines
Technical Support Expert Scientific Team
1-Year Guarantee Antibodies & Proteins