Anti-CEP78 antibody (301-350 aa) (STJ92231)

SPECIFICATIONS
ClonalityPolyclonal
HostRabbit
ConjugationUnconjugated
IsotypeIgG
ImmunogenThe antiserum was produced against synthesized peptide derived from the human CEP78 at the amino acid range 301-350
STJ92231
🚚 Free UK Delivery on orders over £150
Processing The item has been added
Enquire For Bulk Order
✓ 1-Year Performance Guarantee | SDS & Datasheet Included | Expert Tech Support | Covered by St John's Laboratory Guarantee

General Information

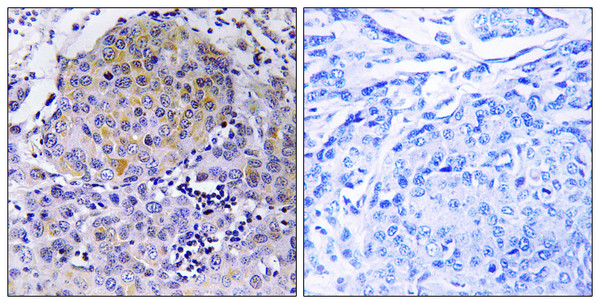
Short DescriptionRabbit polyclonal anti-Centrosomal protein of 78 kDa (301-350 aa) for use in WB, IHC, IF and ELISA in Human and Mouse samples. Datasheet included with dilution recommendations, and related reagents.
ApplicationsWB/IHC/IF/ELISA
HostRabbit
ReactivityHuman/Mouse
NoteSTRICTLY FOR FURTHER SCIENTIFIC RESEARCH USE ONLY (RUO). MUST NOT TO BE USED IN DIAGNOSTIC OR THERAPEUTIC APPLICATIONS.

Product Properties

ClonalityPolyclonal
IsotypeIgG
ConjugationUnconjugated
Concentration1 mg/mL
PurificationThe antibody was affinity-purified from rabbit antiserum by affinity-chromatography using epitope-specific immunogen.
Dilution RangeWB 1:500-1:2000
IHC 1:100-1:300
ELISA 1:20000
IF 1:50-200
FormulationLiquid in PBS containing 50% Glycerol, 0.5% BSA and 0.02% Sodium Azide.
Storage InstructionStore at-20°C for up to 1 year from the date of receipt, and avoid repeat freeze-thaw cycles.

Target Information

Gene SymbolCEP78
Gene ID84131
Uniprot IDCEP78_HUMAN
ImmunogenThe antiserum was produced against synthesized peptide derived from the human CEP78 at the amino acid range 301-350
Immunogen Region301-350 aa
SpecificityCEP78 Polyclonal Antibody detects endogenous levels of CEP78 protein.

Additional Info

Function Centriole wall protein that localizes to mature centrioles and regulates centriole and cilia biogenesis. Involved in centrosome duplication: required for efficient PLK4 centrosomal localization and PLK4-induced overduplication of centrioles. Involved in cilium biogenesis and controls cilium length. Acts as a regulator of protein stability by preventing ubiquitination of centrosomal proteins, such as CCP110 and tektins. Associates with the EDVP complex, preventing ubiquitination and degradation of CCP110. Promotes deubiquitination of tektin proteins (TEKT1, TEKT2, TEK3, TEKT4 and TEKT5) via its interaction with USP16.
Protein Name Centrosomal Protein Of 78 Kda
Cep78
Database Links Reactome: R-HSA-2565942
Reactome: R-HSA-380259
Reactome: R-HSA-380270
Reactome: R-HSA-380284
Reactome: R-HSA-380320
Reactome: R-HSA-5620912
Reactome: R-HSA-8854518
Cellular Localisation Cytoplasm
Cytoskeleton
Microtubule Organizing Center
Centrosome
Centriole
Cilium Basal Body
Mainly Localizes At The Centriolar Wall
But Also Found In The Pericentriolar Material
Expressed In Photoreceptor Inner Segment
Alternative Antibody Names Anti-Centrosomal Protein Of 78 Kda antibody
Anti-Cep78 antibody
Anti-CEP78 antibody
Anti-C9orf81 antibody

Information sourced from Uniprot.org

Citations

Product Review

Well-cited Academic Publications
KO-Validated 700+ Lines
Technical Support Expert Scientific Team
1-Year Guarantee Antibodies & Proteins