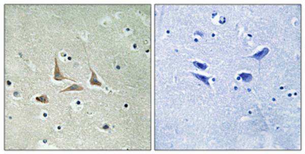
Anti-CDK5RAP3 antibody (341-390 aa) (STJ93603)

SPECIFICATIONS
ClonalityPolyclonal
HostRabbit
ConjugationUnconjugated
IsotypeIgG
ImmunogenThe antiserum was produced against synthesized peptide derived from the human CDK5RAP3 at the amino acid range 341-390
STJ93603
๐Ÿšš Free UK Delivery on orders over ยฃ150
Processing The item has been added
Enquire For Bulk Order
✓ 1-Year Performance Guarantee | SDS & Datasheet Included | Expert Tech Support | Covered by St John's Laboratory Guarantee

General Information

Short DescriptionRabbit polyclonal anti-CDK5 regulatory subunit-associated protein 3 (341-390 aa) for use in WB, IHC, IF and ELISA in Human, Mouse and Rat samples. Datasheet included with dilution recommendations, and related reagents.
ApplicationsWB/IHC/IF/ELISA
HostRabbit
ReactivityHuman/Mouse/Rat
NoteSTRICTLY FOR FURTHER SCIENTIFIC RESEARCH USE ONLY (RUO). MUST NOT TO BE USED IN DIAGNOSTIC OR THERAPEUTIC APPLICATIONS.

Product Properties

ClonalityPolyclonal
IsotypeIgG
ConjugationUnconjugated
Concentration1 mg/mL
PurificationThe antibody was affinity-purified from rabbit antiserum by affinity-chromatography using epitope-specific immunogen.
Dilution RangeWB 1:500-1:2000
IHC 1:100-1:300
ELISA 1:5000
IF 1:50-200
FormulationLiquid in PBS containing 50% Glycerol, 0.5% BSA and 0.02% Sodium Azide.
Storage InstructionStore at-20ยฐC for up to 1 year from the date of receipt, and avoid repeat freeze-thaw cycles.

Target Information

Gene SymbolCDK5RAP3
Gene ID80279
Uniprot IDCK5P3_HUMAN
ImmunogenThe antiserum was produced against synthesized peptide derived from the human CDK5RAP3 at the amino acid range 341-390
Immunogen Region341-390 aa
SpecificityHSF-27 Polyclonal Antibody detects endogenous levels of HSF-27 protein.

Additional Info

Post Translational Modifications May be phosphorylated by CDK5. Ubiquitinated. Probably triggers proteasomal degradation and is negatively regulated by UFL1. May be ufmylated. Cleaved by caspases early during apoptosis, the resulting peptides may play a role in rupture of the nuclear envelope.
Function Substrate adapter of E3 ligase complexes mediating ufmylation, the covalent attachment of the ubiquitin-like modifier UFM1 to substrate proteins, and which is involved in various processes, such as ribosome recycling and reticulophagy (also called ER-phagy). As part of the UREL complex, plays a key role in ribosome recycling by promoting mono-ufmylation of RPL26/uL24 subunit of the 60S ribosome. Ufmylation of RPL26/uL24 occurs on free 60S ribosomes following ribosome dissociation: it weakens the junction between post-termination 60S subunits and SEC61 translocons, promoting release and recycling of the large ribosomal subunit from the endoplasmic reticulum membrane. Ufmylation of RPL26/uL24 and subsequent 60S ribosome recycling either take place after normal termination of translation or after ribosome stalling during cotranslational translocation at the endoplasmic reticulum. Within the UREL complex, CDK5RAP3 acts as a substrate adapter that constrains UFL1 ligase activity to mono-ufmylate RPL26/uL24 at 'Lys-134'. The UREL complex is also involved in reticulophagy in response to endoplasmic reticulum stress by promoting ufmylation of proteins such as CYB5R3, thereby promoting lysosomal degradation of ufmylated proteins. Also acts as a regulator of transcription: negatively regulates NF-kappa-B-mediated gene transcription through the control of RELA phosphorylation. Also regulates mitotic G2/M transition checkpoint and mitotic G2 DNA damage checkpoint. Through its interaction with CDKN2A/ARF and MDM2 may induce MDM2-dependent p53/TP53 ubiquitination, stabilization and activation in the nucleus, thereby promoting G1 cell cycle arrest and inhibition of cell proliferation. May also play a role in the rupture of the nuclear envelope during apoptosis. May regulate MAPK14 activity by regulating its dephosphorylation by PPM1D/WIP1. Required for liver development. (Microbial infection) May be negatively regulated by hepatitis B virus large envelope protein mutant pre-s2 to promote mitotic entry.
Protein Name Cdk5 Regulatory Subunit-Associated Protein 3
Cdk5 Activator-Binding Protein C53
Lxxll/Leucine-Zipper-Containing Arf-Binding Protein
Protein Hsf-27
Database Links
Cellular Localisation Endoplasmic Reticulum Membrane
Cytoplasm
Nucleus
Cytoskeleton
Microtubule Organizing Center
Centrosome
Tethered To The Endoplasmic Reticulum Membrane As Part Of The Ufm1 Ribosome E3 Ligase (Urel) Complex
Colocalizes And Associates With Microtubules
Alternative Antibody Names Anti-Cdk5 Regulatory Subunit-Associated Protein 3 antibody
Anti-Cdk5 Activator-Binding Protein C53 antibody
Anti-Lxxll/Leucine-Zipper-Containing Arf-Binding Protein antibody
Anti-Protein Hsf-27 antibody
Anti-CDK5RAP3 antibody
Anti-IC53 antibody
Anti-LZAP antibody
Anti-MSTP016 antibody
Anti-OK antibody
Anti-SW-cl.114 antibody
Anti-PP1553 antibody

Information sourced from Uniprot.org

Citations

Product Review