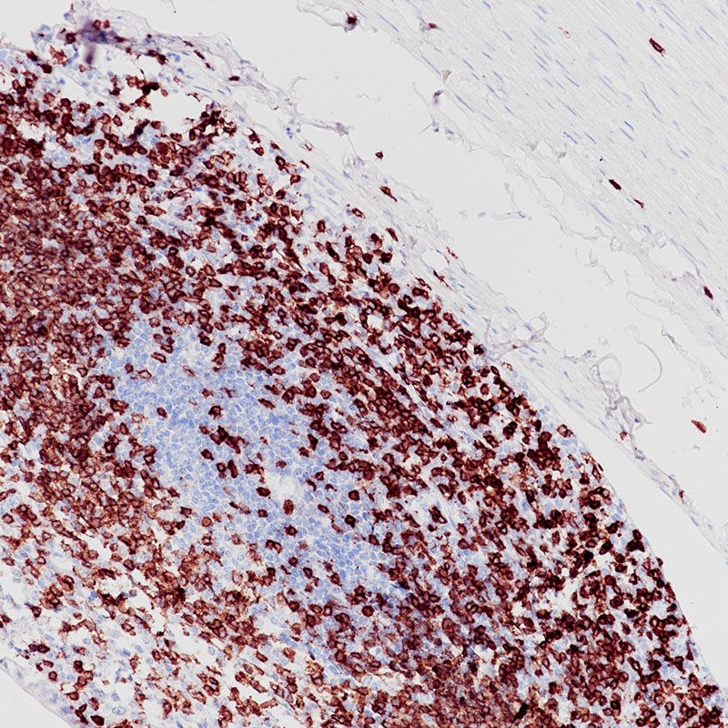
Anti-CD3e antibody [BP6027] (STJA0037594)

SPECIFICATIONS
ClonalityMonoclonal
HostRabbit
ConjugationUnconjugated
IsotypeIgG
ImmunogenA synthesized peptide derived from human CD3E
STJA0037594
🚚 Free UK Delivery on orders over £150
Processing The item has been added
Enquire For Bulk Order
✓ 1-Year Performance Guarantee | SDS & Datasheet Included | Expert Tech Support | Covered by St John's Laboratory Guarantee

General Information

Short DescriptionRabbit monoclonal anti-CD3e for use in IHC-P in Human samples. Datasheet included with dilution recommendations, and related reagents.
ApplicationsIHC-P
HostRabbit
ReactivityHuman
NoteSTRICTLY FOR FURTHER SCIENTIFIC RESEARCH USE ONLY (RUO). MUST NOT TO BE USED IN DIAGNOSTIC OR THERAPEUTIC APPLICATIONS.

Product Properties

ClonalityMonoclonal
Clone IDBP6027
IsotypeIgG
ConjugationUnconjugated
PurificationAffinity Purified
Dilution RangeIHC 1:100-1:200
FormulationLiquid in PBS containing 50% glycerol, 0.5% BSA and 0.02% sodium azide, pH 7.3.
Storage InstructionStore at 4°C short term. Aliquot and store at-20°C long term. Avoid freeze/thaw cycles.

Target Information

Gene SymbolCD3E
Gene ID916
Uniprot IDCD3E_HUMAN
ImmunogenA synthesized peptide derived from human CD3E

Additional Info

Post Translational Modifications Phosphorylated on Tyr residues after T-cell receptor triggering by LCK in association with CD4/CD8.
Function Part of the TCR-CD3 complex present on T-lymphocyte cell surface that plays an essential role in adaptive immune response. When antigen presenting cells (APCs) activate T-cell receptor (TCR), TCR-mediated signals are transmitted across the cell membrane by the CD3 chains CD3D, CD3E, CD3G and CD3Z. All CD3 chains contain immunoreceptor tyrosine-based activation motifs (ITAMs) in their cytoplasmic domain. Upon TCR engagement, these motifs become phosphorylated by Src family protein tyrosine kinases LCK and FYN, resulting in the activation of downstream signaling pathways. In addition of this role of signal transduction in T-cell activation, CD3E plays an essential role in correct T-cell development. Initiates the TCR-CD3 complex assembly by forming the two heterodimers CD3D/CD3E and CD3G/CD3E. Also participates in internalization and cell surface down-regulation of TCR-CD3 complexes via endocytosis sequences present in CD3E cytosolic region. In addition to its role as a TCR coreceptor, it serves as a receptor for ITPRIPL1. Ligand recognition inhibits T-cell activation by promoting interaction with NCK1, which prevents CD3E-ZAP70 interaction and blocks the ERK-NFkB signaling cascade and calcium influx.
Protein Name T-Cell Surface Glycoprotein Cd3 Epsilon Chain
T-Cell Surface Antigen T3/Leu-4 Epsilon Chain
Cd Antigen Cd3e
Database Links Reactome: R-HSA-198933
Reactome: R-HSA-202424
Reactome: R-HSA-202427
Reactome: R-HSA-202430
Reactome: R-HSA-202433
Reactome: R-HSA-389948
Cellular Localisation Cell Membrane
Single-Pass Type I Membrane Protein
Alternative Antibody Names Anti-T-Cell Surface Glycoprotein Cd3 Epsilon Chain antibody
Anti-T-Cell Surface Antigen T3/Leu-4 Epsilon Chain antibody
Anti-Cd Antigen Cd3e antibody
Anti-CD3E antibody
Anti-T3E antibody

Information sourced from Uniprot.org

Citations

Product Review

Well-cited Academic Publications
KO-Validated 700+ Lines
Technical Support Expert Scientific Team
1-Year Guarantee Antibodies & Proteins