Anti-CD1B antibody (60-100 aa) (STJ98735)

SPECIFICATIONS
ClonalityPolyclonal
HostRabbit
ConjugationUnconjugated
IsotypeIgG
ImmunogenSynthetic peptide from the human protein at the amino acid range 60-100
STJ98735
🚚 Free UK Delivery on orders over £150
Processing The item has been added
Enquire For Bulk Order
✓ 1-Year Performance Guarantee | SDS & Datasheet Included | Expert Tech Support | Covered by St John's Laboratory Guarantee

General Information

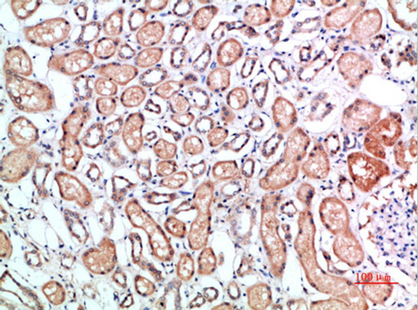
Short DescriptionRabbit polyclonal anti-T-cell surface glycoprotein CD1b (60-100 aa) for use in IHC, IF and ELISA in Human, Rat and Mouse samples. Datasheet included with dilution recommendations, and related reagents.
ApplicationsIHC/IF/ELISA
HostRabbit
ReactivityHuman/Rat/Mouse
NoteSTRICTLY FOR FURTHER SCIENTIFIC RESEARCH USE ONLY (RUO). MUST NOT TO BE USED IN DIAGNOSTIC OR THERAPEUTIC APPLICATIONS.

Product Properties

ClonalityPolyclonal
IsotypeIgG
ConjugationUnconjugated
Concentration1 mg/mL
PurificationThe antibody was affinity-purified from rabbit antiserum by affinity-chromatography using epitope-specific immunogen.
Dilution RangeIHC-P 1:50-200
ELISA 1:10000-20000
IF 1:50-200
FormulationLiquid in PBS containing 50% Glycerol, 0.5% BSA and 0.02% Sodium Azide.
Storage InstructionStore at-20°C for up to 1 year from the date of receipt, and avoid repeat freeze-thaw cycles.

Target Information

Gene SymbolCD1B
Gene ID910
Uniprot IDCD1B_HUMAN
ImmunogenSynthetic peptide from the human protein at the amino acid range 60-100
Immunogen Region60-100 aa
SpecificityThe antibody detects endogenous CD1B

Additional Info

Function Antigen-presenting protein that binds self and non-self lipid and glycolipid antigens and presents them to T-cell receptors on natural killer T-cells.
Protein Name T-Cell Surface Glycoprotein Cd1b
Cd Antigen Cd1b
Database Links Reactome: R-HSA-198933
Cellular Localisation Cell Membrane
Single-Pass Type I Membrane Protein
Endosome Membrane
Lysosome Membrane
Subject To Intracellular Trafficking Between The Cell Membrane
Endosomes And Lysosomes
Alternative Antibody Names Anti-T-Cell Surface Glycoprotein Cd1b antibody
Anti-Cd Antigen Cd1b antibody
Anti-CD1B antibody

Information sourced from Uniprot.org

Citations

Product Review

Well-cited Academic Publications
KO-Validated 700+ Lines
Technical Support Expert Scientific Team
1-Year Guarantee Antibodies & Proteins