Anti-ADRA1D antibody (451-500 aa) (STJ91722)

SPECIFICATIONS
ClonalityPolyclonal
HostRabbit
ConjugationUnconjugated
IsotypeIgG
ImmunogenThe antiserum was produced against synthesized peptide derived from the human ADRA1D at the amino acid range 451-500
STJ91722
🚚 Free UK Delivery on orders over £150
Processing The item has been added
Enquire For Bulk Order
✓ 1-Year Performance Guarantee | SDS & Datasheet Included | Expert Tech Support | Covered by St John's Laboratory Guarantee

General Information

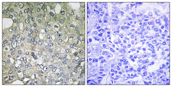
Short DescriptionRabbit polyclonal anti-Alpha-1D adrenergic receptor (451-500 aa) for use in IHC, IF and ELISA in Human, Rat and Mouse samples. Datasheet included with dilution recommendations, and related reagents.
ApplicationsIHC/IF/ELISA
HostRabbit
ReactivityHuman/Rat/Mouse
NoteSTRICTLY FOR FURTHER SCIENTIFIC RESEARCH USE ONLY (RUO). MUST NOT TO BE USED IN DIAGNOSTIC OR THERAPEUTIC APPLICATIONS.

Product Properties

ClonalityPolyclonal
IsotypeIgG
ConjugationUnconjugated
Concentration1 mg/mL
PurificationThe antibody was affinity-purified from rabbit antiserum by affinity-chromatography using epitope-specific immunogen.
Dilution RangeIHC 1:100-1:300
IF 1:200-1:1000
ELISA 1:20000
FormulationLiquid in PBS containing 50% Glycerol, 0.5% BSA and 0.02% Sodium Azide.
Storage InstructionStore at-20°C for up to 1 year from the date of receipt, and avoid repeat freeze-thaw cycles.

Target Information

Gene SymbolADRA1D
Gene ID146
Uniprot IDADA1D_HUMAN
ImmunogenThe antiserum was produced against synthesized peptide derived from the human ADRA1D at the amino acid range 451-500
Immunogen Region451-500 aa
SpecificityAR-Alpha 1D Polyclonal Antibody detects endogenous levels of AR-Alpha 1D protein.

Additional Info

Function This alpha-adrenergic receptor mediates its effect through the influx of extracellular calcium.
Protein Name Alpha-1d Adrenergic Receptor
Alpha-1a Adrenergic Receptor
Alpha-1d Adrenoreceptor
Alpha-1d Adrenoceptor
Alpha-Adrenergic Receptor 1a
Database Links Reactome: R-HSA-390696
Reactome: R-HSA-416476
Reactome: R-HSA-416482
Cellular Localisation Cell Membrane
Multi-Pass Membrane Protein
Alternative Antibody Names Anti-Alpha-1d Adrenergic Receptor antibody
Anti-Alpha-1a Adrenergic Receptor antibody
Anti-Alpha-1d Adrenoreceptor antibody
Anti-Alpha-1d Adrenoceptor antibody
Anti-Alpha-Adrenergic Receptor 1a antibody
Anti-ADRA1D antibody
Anti-ADRA1A antibody

Information sourced from Uniprot.org

Citations

Product Review

Well-cited Academic Publications
KO-Validated 700+ Lines
Technical Support Expert Scientific Team
1-Year Guarantee Antibodies & Proteins