Anti-ACTR1B antibody (1-105) (STJ118218)

SPECIFICATIONS
ClonalityPolyclonal
HostRabbit
ConjugationUnconjugated
IsotypeIgG
STJ118218
🚚 Free UK Delivery on orders over £150
Processing The item has been added
Enquire For Bulk Order
✓ 1-Year Performance Guarantee | SDS & Datasheet Included | Expert Tech Support | Covered by St John's Laboratory Guarantee

General Information

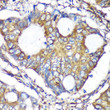
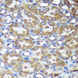
Short DescriptionRabbit polyclonal ACTR1B (1-105) antibody for use in WB, IHC-P and ELISA in human, mouse and rat samples. Datasheet included with dilution recommendations, and related reagents.
ApplicationsWB/IHC-P/ELISA
HostRabbit
ReactivityHuman/Mouse/Rat
NoteSTRICTLY FOR FURTHER SCIENTIFIC RESEARCH USE ONLY (RUO). MUST NOT TO BE USED IN DIAGNOSTIC OR THERAPEUTIC APPLICATIONS.

Product Properties

ClonalityPolyclonal
IsotypeIgG
ConjugationUnconjugated
ConcentrationLot specific
PurificationAffinity purification
Dilution RangeWB:1:500-1:2000
IHC-P:1:50-1:200
ELISA:Recommended starting concentration is 1 Mu g/mL. Please optimize the concentration based on your specific assay requirements.
FormulationPBS with 0.01% Thimerosal, 50% Glycerol, pH 7.3.
Storage InstructionStore at-20°C for up to 1 year from the date of receipt, and avoid repeat freeze-thaw cycles.

Target Information

Gene SymbolACTR1B
Gene ID10120
Uniprot IDACTY_HUMAN
Immunogen Region1-105
Immunogen SequenceMESYDIIANQPVVIDNGSGV IKAGFAGDQIPKYCFPNYVG RPKHMRVMAGALEGDLFIGP KAEEHRGLLTIRYPMEHGVV RDWNDMERIWQYVYSKDQLQ TFSEE
SpecificityRecombinant fusion protein containing a sequence corresponding to amino acids 1-105 of human ACTR1B (NP_005726.1).

Additional Info

Function Component of a multi-subunit complex involved in microtubule based vesicle motility. It is associated with the centrosome.
Protein Name Beta-Centractin
Actin-Related Protein 1b
Arp1b
Database Links Reactome: R-HSA-2132295
Reactome: R-HSA-6798695
Cellular Localisation Cytoplasm
Cytoskeleton
Microtubule Organizing Center
Centrosome
Alternative Antibody Names Anti-Beta-Centractin antibody
Anti-Actin-Related Protein 1b antibody
Anti-Arp1b antibody
Anti-ACTR1B antibody
Anti-CTRN2 antibody

Information sourced from Uniprot.org

Citations

Product Review

Well-cited Academic Publications
KO-Validated 700+ Lines
Technical Support Expert Scientific Team
1-Year Guarantee Antibodies & Proteins