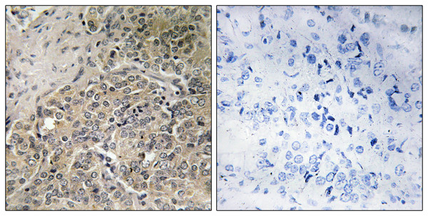
| Short Description : | Rabbit polyclonal anti-POTE ankyrin domain family member G and POTE ankyrin domain family member H and Putative POTE ankyrin domain family member M (401-450 aa) for use in WB, IHC, IF and ELISA in Human, Rat and Mouse samples. Datasheet included with |
| Applications: | WB/IHC/IF/ELISA |
| Host: | Rabbit |
| Reactivity: | Human/Rat/Mouse |
| Note: | STRICTLY FOR FURTHER SCIENTIFIC RESEARCH USE ONLY (RUO). MUST NOT TO BE USED IN DIAGNOSTIC OR THERAPEUTIC APPLICATIONS. |
| Clonality : | Polyclonal |
| Isotype: | IgG |
| Conjugation: | Unconjugated |
| Concentration: | 1 mg/mL |
| Purification: | The antibody was affinity-purified from rabbit antiserum by affinity-chromatography using epitope-specific immunogen. |
| Dilution Range: | WB 1:500-1:2000IHC 1:100-1:300ELISA 1:40000IF 1:50-200 |
| Formulation: | Liquid in PBS containing 50% Glycerol, 0.5% BSA and 0.02% Sodium Azide. |
| Storage Instruction: | Store at-20°C for up to 1 year from the date of receipt, and avoid repeat freeze-thaw cycles. |
| Gene Symbol: | POTEGPOTEH40478523784641455 |
| Uniprot ID: | POTEG_HUMANPOTEH_HUMANPOTEM_HUMAN |
| Immunogen: | The antiserum was produced against synthesized peptide derived from the human POTEG at the amino acid range 401-450 |
| Immunogen Region: | 401-450 aa |
| Specificity: | POTE14/22 Polyclonal Antibody detects endogenous levels of POTE14/22 protein. |
| Protein Name | Pote Ankyrin Domain Family Member GAnkrd26-Like Family C Member 2Prostate - Ovary - Testis-Expressed Protein On Chromosome 14Pote-14 |
| Alternative Names | Anti-Pote Ankyrin Domain Family Member G antibodyAnti-Ankrd26-Like Family C Member 2 antibodyAnti-Prostate - Ovary - Testis-Expressed Protein On Chromosome 14 antibodyAnti-Pote-14 antibodyAnti-POTEG antibodyAnti-A26C2 antibodyAnti-POTE14 antibody |
Information sourced from Uniprot.org

