| Host: | Rabbit | 
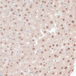
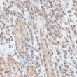
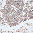
| Applications: | IHC-P/ELISA | 
| Reactivity: | Human/Mouse/Rat | 
| Note: | STRICTLY FOR FURTHER SCIENTIFIC RESEARCH USE ONLY (RUO). MUST NOT TO BE USED IN DIAGNOSTIC OR THERAPEUTIC APPLICATIONS. | 
| Clonality : | Polyclonal | 
| Conjugation: | Unconjugated | 
| Isotype: | IgG | 
| Formulation: | PBS with 0.01% Thimerosal, 50% Glycerol, pH 7.3. | 
| Purification: | Affinity purification | 
| Concentration: | Lot specific | 
| Dilution Range: | IHC-P:1:50-1:200ELISA:Recommended starting concentration is 1 Mu g/mL. Please optimize the concentration based on your specific assay requirements. | 
| Storage Instruction: | Store at-20°C for up to 1 year from the date of receipt, and avoid repeat freeze-thaw cycles. | 
| Gene Symbol: | ZNF562 | 
| Gene ID: | 54811 | 
| Uniprot ID: | ZN562_HUMAN | 
| Immunogen Region: | 1-180 | 
| Specificity: | Recombinant fusion protein containing a sequence corresponding to amino acids 1-180 of human ZNF562 (NP_001123503.1). | 
| Immunogen Sequence: | MSAFDMSHGFFPREPICPFE EKTKIGTMVEDHRSNSYQDS VTFDDVAVEFTPEEWALLDT TQKYLYRDVMLENYMNLASV DFFFCLTSEWEIQPRTKRSS LQQGFLKNQIFTGIQMQTRS YSGWKLCENCGEVFSEQFCL KTHMRAQNGGNTFEGNCYGK DSISVHKEASIGQELSKFNP | 
| Function | May be involved in transcriptional regulation. | 
| Protein Name | Zinc Finger Protein 562 | 
| Database Links | Reactome: R-HSA-212436 | 
| Cellular Localisation | Nucleus | 
| Alternative Antibody Names | Anti-Zinc Finger Protein 562 antibodyAnti-ZNF562 antibody | 
Information sourced from Uniprot.org
 
 
                     
                     
                     
                     
                       
                    

 
             
             
             
            