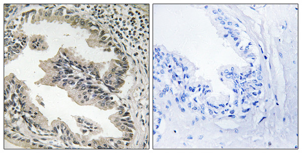
| Short Description : | Rabbit polyclonal anti-Endophilin-B2 (131-180 aa) for use in WB, IHC, IF and ELISA in Human, Mouse, Rat and Monkey samples. Datasheet included with dilution recommendations, and related reagents. |
| Applications: | WB/IHC/IF/ELISA |
| Host: | Rabbit |
| Reactivity: | Human/Mouse/Rat/Monkey |
| Note: | STRICTLY FOR FURTHER SCIENTIFIC RESEARCH USE ONLY (RUO). MUST NOT TO BE USED IN DIAGNOSTIC OR THERAPEUTIC APPLICATIONS. |
| Clonality : | Polyclonal |
| Isotype: | IgG |
| Conjugation: | Unconjugated |
| Concentration: | 1 mg/mL |
| Purification: | The antibody was affinity-purified from rabbit antiserum by affinity-chromatography using epitope-specific immunogen. |
| Dilution Range: | WB 1:500-1:2000IHC 1:100-1:300ELISA 1:40000IF 1:50-200 |
| Formulation: | Liquid in PBS containing 50% Glycerol, 0.5% BSA and 0.02% Sodium Azide. |
| Storage Instruction: | Store at-20°C for up to 1 year from the date of receipt, and avoid repeat freeze-thaw cycles. |
| Gene Symbol: | SH3GLB2 |
| Gene ID: | 56904 |
| Uniprot ID: | SHLB2_HUMAN |
| Immunogen: | The antiserum was produced against synthesized peptide derived from the human SH3GLB2 at the amino acid range 131-180 |
| Immunogen Region: | 131-180 aa |
| Specificity: | Endophilin B2 Polyclonal Antibody detects endogenous levels of Endophilin B2 protein. |
| Protein Name | Endophilin-B2Sh3 Domain-Containing Grb2-Like Protein B2 |
| Database Links | |
| Cellular Localisation | Cytoplasm |
| Alternative Antibody Names | Anti-Endophilin-B2 antibodyAnti-Sh3 Domain-Containing Grb2-Like Protein B2 antibodyAnti-SH3GLB2 antibodyAnti-KIAA1848 antibodyAnti-PP578 antibody |
Information sourced from Uniprot.org

