| Short Description : | Rabbit polyclonal anti-Small ribosomal subunit protein mS27 (16-65) for use in WB, ELISA and IHC in Human, Rat and Mouse samples. Datasheet included with dilution recommendations, and related reagents. |
| Applications: | WB/ELISA/IHC |
| Host: | Rabbit |
| Reactivity: | Human/Rat/Mouse |
| Note: | STRICTLY FOR FURTHER SCIENTIFIC RESEARCH USE ONLY (RUO). MUST NOT TO BE USED IN DIAGNOSTIC OR THERAPEUTIC APPLICATIONS. |
| Clonality : | Polyclonal |
| Isotype: | IgG |
| Conjugation: | Unconjugated |
| Concentration: | 1 mg/mL |
| Purification: | The antibody was affinity-purified from rabbit antiserum by affinity-chromatography using epitope-specific immunogen. |
| Dilution Range: | WB 1:500-2000IHC-p 1:50-300ELISA 2000-20000 |
| Formulation: | Liquid in PBS containing 50% Glycerol, 0.5% BSA and 0.02% Sodium Azide. |
| Storage Instruction: | Store at-20°C for up to 1 year from the date of receipt, and avoid repeat freeze-thaw cycles. |
| Gene Symbol: | MRPS27 |
| Gene ID: | 23107 |
| Uniprot ID: | RT27_HUMAN |
| Immunogen: | The antiserum was produced against synthesized peptide derived from human MRPS27. AA range:16-65 |
| Immunogen Region: | 16-65 |
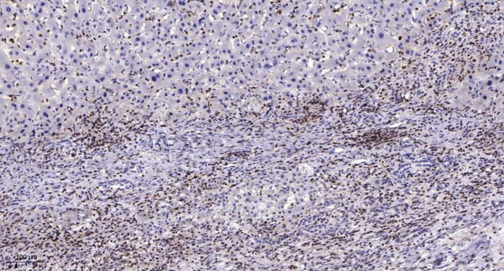
| Specificity: | MRP-S27 Polyclonal Antibody detects endogenous levels of MRP-S27 protein. |
| Tissue Specificity | Overexpressed in hepatocellular carcinoma tissues compared with adjacent non-tumoral liver tissues (at protein level). Ubiquitous. |
| Function | RNA-binding component of the mitochondrial small ribosomal subunit (mt-SSU) that plays a role in mitochondrial protein synthesis. Stimulates mitochondrial mRNA translation of subunit components of the mitochondrial electron transport chain. Binds to the mitochondrial 12S rRNA (12S mt-rRNA) and tRNA(Glu). Involved also in positive regulation of cell proliferation and tumor cell growth. |
| Protein Name | Small Ribosomal Subunit Protein Ms2728s Ribosomal Protein S27 - MitochondrialMrp-S27S27mtMitochondrial Ribosomal Protein S27 |
| Database Links | Reactome: R-HSA-5368286Reactome: R-HSA-5389840Reactome: R-HSA-5419276 |
| Cellular Localisation | CytoplasmMitochondrion |
| Alternative Antibody Names | Anti-Small Ribosomal Subunit Protein Ms27 antibodyAnti-28s Ribosomal Protein S27 - Mitochondrial antibodyAnti-Mrp-S27 antibodyAnti-S27mt antibodyAnti-Mitochondrial Ribosomal Protein S27 antibodyAnti-MRPS27 antibodyAnti-KIAA0264 antibody |
Information sourced from Uniprot.org

