Anti-MAPKAPK5 antibody [7H10B4] (STJ98335)

SKU:
STJ98335
€186.25 - €450.00
Processing The item has been added

Host: Mouse
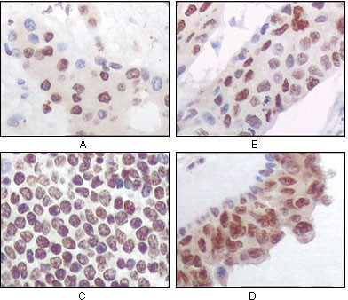
Applications: WB/IHC/IF/ELISA
Reactivity: Human
Note: STRICTLY FOR FURTHER SCIENTIFIC RESEARCH USE ONLY (RUO). MUST NOT TO BE USED IN DIAGNOSTIC OR THERAPEUTIC APPLICATIONS.
Short Description : Mouse monoclonal anti-MAP kinase-activated protein kinase 5 for use in WB, IHC, IF and ELISA in Human samples. Datasheet included with dilution recommendations, and related reagents.
Clonality : Monoclonal
Clone ID : 7H10B4
Conjugation: Unconjugated
Isotype: IgG1
Formulation: Liquid in PBS containing 0.03% Sodium Azide, 0.5% BSA, 50% Glycerol.
Purification: Affinity purification
Dilution Range: WB 1:500-1:2000
IHC 1:200-1:1000
ELISA 1:10000
IF 1:50-200
Storage Instruction: Store at-20°C for up to 1 year from the date of receipt, and avoid repeat freeze-thaw cycles.
Gene Symbol: MAPKAPK5
Gene ID: 8550
Uniprot ID: MAPK5_HUMAN
Specificity: PRAK Monoclonal Antibody detects endogenous levels of PRAK protein.
Immunogen: Purified recombinant fragment of PRAK expressed in E. Coli.
Post Translational Modifications Phosphorylated on Thr-182 ERK3/MAPK6 or ERK4/MAPK4.which is the regulatory phosphorylation site and is located on the T-loop/loop 12, leading to activation. Phosphorylation at Thr-182 by p38-alpha/MAPK14, p38-beta/MAPK11 is subject to debate. Phosphorylated at Ser-115 by PKA/PRKACA, leading to localization to the cytoplasm. Autophosphorylated.
Function Tumor suppressor serine/threonine-protein kinase involved in mTORC1 signaling and post-transcriptional regulation. Phosphorylates FOXO3, ERK3/MAPK6, ERK4/MAPK4, HSP27/HSPB1, p53/TP53 and RHEB. Acts as a tumor suppressor by mediating Ras-induced senescence and phosphorylating p53/TP53. Involved in post-transcriptional regulation of MYC by mediating phosphorylation of FOXO3: phosphorylation of FOXO3 leads to promote nuclear localization of FOXO3, enabling expression of miR-34b and miR-34c, 2 post-transcriptional regulators of MYC that bind to the 3'UTR of MYC transcript and prevent MYC translation. Acts as a negative regulator of mTORC1 signaling by mediating phosphorylation and inhibition of RHEB. Part of the atypical MAPK signaling via its interaction with ERK3/MAPK6 or ERK4/MAPK4: the precise role of the complex formed with ERK3/MAPK6 or ERK4/MAPK4 is still unclear, but the complex follows a complex set of phosphorylation events: upon interaction with atypical MAPK (ERK3/MAPK6 or ERK4/MAPK4), ERK3/MAPK6 (or ERK4/MAPK4) is phosphorylated and then mediates phosphorylation and activation of MAPKAPK5, which in turn phosphorylates ERK3/MAPK6 (or ERK4/MAPK4). Mediates phosphorylation of HSP27/HSPB1 in response to PKA/PRKACA stimulation, inducing F-actin rearrangement.
Protein Name Map Kinase-Activated Protein Kinase 5
Mapk-Activated Protein Kinase 5
Mapkap Kinase 5
Mapkap-K5
Mapkapk-5
Mk-5
Mk5
P38-Regulated/Activated Protein Kinase
Prak
Database Links Reactome: R-HSA-2559580
Reactome: R-HSA-5687128
Reactome: R-HSA-6804756
Cellular Localisation Cytoplasm
Nucleus
Translocates To The Cytoplasm Following Phosphorylation And Activation
Interaction With Erk3/Mapk6 Or Erk4/Mapk4 And Phosphorylation At Thr-182
Activates The Protein Kinase Activity
Followed By Translocation To The Cytoplasm
Phosphorylation By Pka/Prkaca At Ser-115 Also Induces Nuclear Export
Alternative Antibody Names Anti-Map Kinase-Activated Protein Kinase 5 antibody
Anti-Mapk-Activated Protein Kinase 5 antibody
Anti-Mapkap Kinase 5 antibody
Anti-Mapkap-K5 antibody
Anti-Mapkapk-5 antibody
Anti-Mk-5 antibody
Anti-Mk5 antibody
Anti-P38-Regulated/Activated Protein Kinase antibody
Anti-Prak antibody
Anti-MAPKAPK5 antibody
Anti-PRAK antibody

Information sourced from Uniprot.org