Anti-IFNG antibody (20-69 aa) (STJ93644)

SPECIFICATIONS
ClonalityPolyclonal
HostRabbit
ConjugationUnconjugated
IsotypeIgG
ImmunogenThe antiserum was produced against synthesized peptide derived from the human IFN-gamma at the amino acid range 20-69
STJ93644
๐Ÿšš Free UK Delivery on orders over ยฃ150
Processing The item has been added
Enquire For Bulk Order
✓ 1-Year Performance Guarantee | SDS & Datasheet Included | Expert Tech Support | Covered by St John's Laboratory Guarantee

General Information

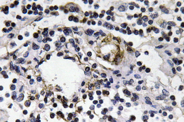
Short DescriptionRabbit polyclonal anti-Interferon gamma (20-69 aa) for use in WB, IHC, IF and ELISA in Human, Rat and Mouse samples. Datasheet included with dilution recommendations, and related reagents.
ApplicationsWB/IHC/IF/ELISA
HostRabbit
ReactivityHuman/Rat/Mouse
NoteSTRICTLY FOR FURTHER SCIENTIFIC RESEARCH USE ONLY (RUO). MUST NOT TO BE USED IN DIAGNOSTIC OR THERAPEUTIC APPLICATIONS.

Product Properties

ClonalityPolyclonal
IsotypeIgG
ConjugationUnconjugated
Concentration1 mg/mL
PurificationThe antibody was affinity-purified from rabbit antiserum by affinity-chromatography using epitope-specific immunogen.
Dilution RangeWB 1:500-1:2000
IHC 1:100-1:300
ELISA 1:40000
IF 1:50-200
FormulationLiquid in PBS containing 50% Glycerol, 0.5% BSA and 0.02% Sodium Azide.
Storage InstructionStore at-20ยฐC for up to 1 year from the date of receipt, and avoid repeat freeze-thaw cycles.

Target Information

Gene SymbolIFNG
Gene ID3458
Uniprot IDIFNG_HUMAN
ImmunogenThe antiserum was produced against synthesized peptide derived from the human IFN-gamma at the amino acid range 20-69
Immunogen Region20-69 aa
SpecificityIFN-Gamma Polyclonal Antibody detects endogenous levels of IFN-Gamma protein.

Additional Info

Post Translational Modifications Proteolytic processing produces C-terminal heterogeneity, with proteins ending alternatively at Gly-150, Met-157 or Gly-161.
Function Type II interferon produced by immune cells such as T-cells and NK cells that plays crucial roles in antimicrobial, antiviral, and antitumor responses by activating effector immune cells and enhancing antigen presentation. Primarily signals through the JAK-STAT pathway after interaction with its receptor IFNGR1 to affect gene regulation. Upon IFNG binding, IFNGR1 intracellular domain opens out to allow association of downstream signaling components JAK2, JAK1 and STAT1, leading to STAT1 activation, nuclear translocation and transcription of IFNG-regulated genes. Many of the induced genes are transcription factors such as IRF1 that are able to further drive regulation of a next wave of transcription. Plays a role in class I antigen presentation pathway by inducing a replacement of catalytic proteasome subunits with immunoproteasome subunits. In turn, increases the quantity, quality, and repertoire of peptides for class I MHC loading. Increases the efficiency of peptide generation also by inducing the expression of activator PA28 that associates with the proteasome and alters its proteolytic cleavage preference. Up-regulates as well MHC II complexes on the cell surface by promoting expression of several key molecules such as cathepsins B/CTSB, H/CTSH, and L/CTSL. Participates in the regulation of hematopoietic stem cells during development and under homeostatic conditions by affecting their development, quiescence, and differentiation.
Protein Name Interferon Gamma
Ifn-Gamma
Immune Interferon
Database Links Reactome: R-HSA-877300
Reactome: R-HSA-877312
Reactome: R-HSA-8877330
Reactome: R-HSA-8950505
Reactome: R-HSA-9732724
Cellular Localisation Secreted
Alternative Antibody Names Anti-Interferon Gamma antibody
Anti-Ifn-Gamma antibody
Anti-Immune Interferon antibody
Anti-IFNG antibody

Information sourced from Uniprot.org

Citations

Product Review