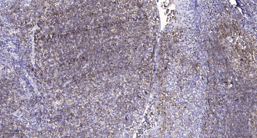
| Short Description : | Rabbit polyclonal anti-Claudin-10 (179-228 aa) for use in WB, IHC, IF and ELISA in Human, Mouse and Rat samples. Datasheet included with dilution recommendations, and related reagents. |
| Applications: | WB/IHC/IF/ELISA |
| Host: | Rabbit |
| Reactivity: | Human/Mouse/Rat |
| Note: | STRICTLY FOR FURTHER SCIENTIFIC RESEARCH USE ONLY (RUO). MUST NOT TO BE USED IN DIAGNOSTIC OR THERAPEUTIC APPLICATIONS. |
| Clonality : | Polyclonal |
| Isotype: | IgG |
| Conjugation: | Unconjugated |
| Concentration: | 1 mg/mL |
| Purification: | The antibody was affinity-purified from rabbit antiserum by affinity-chromatography using epitope-specific immunogen. |
| Dilution Range: | WB 1:500-1:2000IHC 1:100-1:300IF 1:200-1:1000ELISA 1:10000 |
| Formulation: | Liquid in PBS containing 50% Glycerol, 0.5% BSA and 0.02% Sodium Azide. |
| Storage Instruction: | Store at-20°C for up to 1 year from the date of receipt, and avoid repeat freeze-thaw cycles. |
| Gene Symbol: | CLDN10 |
| Gene ID: | 9071 |
| Uniprot ID: | CLD10_HUMAN |
| Immunogen: | The antiserum was produced against synthesized peptide derived from the human Claudin 10 at the amino acid range 179-228 |
| Immunogen Region: | 179-228 aa |
| Specificity: | Claudin-10 Polyclonal Antibody detects endogenous levels of Claudin-10 protein. |
| Function | Forms paracellular channels: polymerizes in tight junction strands with cation- and anion-selective channels through the strands, conveying epithelial permeability in a process known as paracellular tight junction permeability. Isoform 1: Forms cation-selective paracellular channels. In sweat glands and in the thick ascending limb (TAL) of Henle's loop in kidney, it controls paracellular sodium permeability which is essential for proper sweat production and renal function. Isoform 2: Forms anion-selective paracellular channels. In renal proximal tubules, it conveys selective chloride over hydrogencarbonate anion permeability which is required for renal chloride reabsorption and salt homeostasis. |
| Protein Name | Claudin-10Oligodendrocyte-Specific Protein-LikeOsp-Like |
| Database Links | Reactome: R-HSA-420029 |
| Cellular Localisation | Isoform 1: Cell JunctionTight JunctionCell MembraneMulti-Pass Membrane ProteinIsoform 2: Cell Junction |
| Alternative Antibody Names | Anti-Claudin-10 antibodyAnti-Oligodendrocyte-Specific Protein-Like antibodyAnti-Osp-Like antibodyAnti-CLDN10 antibody |
Information sourced from Uniprot.org

