| Host: | Mouse | 
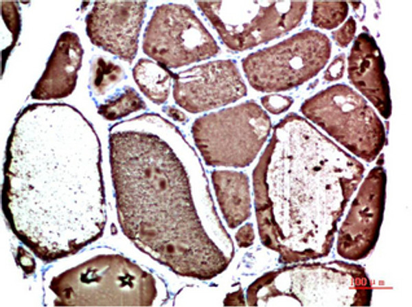
| Applications: | WB/IHC/IF | 
| Reactivity: | Human | 
| Note: | STRICTLY FOR FURTHER SCIENTIFIC RESEARCH USE ONLY (RUO). MUST NOT TO BE USED IN DIAGNOSTIC OR THERAPEUTIC APPLICATIONS. | 
| Short Description : | Mouse monoclonal antibody anti-Transthyretin is suitable for use in Western Blot, Immunohistochemistry and Immunofluorescence research applications. | 
| Clonality : | Monoclonal | 
| Conjugation: | Unconjugated | 
| Formulation: | Liquid in PBS containing 50% Glycerol, 0.5% BSA and 0.02% Sodium Azide. | 
| Purification: | The antibody was affinity-purified from mouse antiserum by affinity-chromatography using epitope-specific immunogen. | 
| Concentration: | 1 mg/mL | 
| Dilution Range: | WB 1:500-2000IHC-P 1:50-300IF 1:50-200 | 
| Storage Instruction: | Store at-20°C for up to 1 year from the date of receipt, and avoid repeat freeze-thaw cycles. | 
| Gene Symbol: | TTR | 
| Gene ID: | 7276 | 
| Uniprot ID: | TTHY_HUMAN | 
| Specificity: | The antibody detects endogenous TTR protein | 
| Immunogen: | Recombinant Protein of TTR | 
| Post Translational Modifications | Not glycosylated under normal conditions. Following unfolding, caused for example by variant AMYLD1 'Gly-38', the cryptic Asn-118 site is exposed and glycosylated by STT3B-containing OST complex, leading to its degradation by the ER-associated degradation (ERAD) pathway. Sulfonation of the reactive cysteine Cys-30 enhances the stability of the native conformation of TTR, avoiding misassembly of the protein leading to amyloid formation. | 
| Function | Thyroid hormone-binding protein. Probably transports thyroxine from the bloodstream to the brain. | 
| Protein Name | TransthyretinAttrPrealbuminTbpa | 
| Database Links | Reactome: R-HSA-2453864Reactome: R-HSA-2453902Reactome: R-HSA-3000171Reactome: R-HSA-6798695Reactome: R-HSA-975634Reactome: R-HSA-977225 | 
| Cellular Localisation | SecretedCytoplasm | 
| Alternative Antibody Names | Anti-Transthyretin antibodyAnti-Attr antibodyAnti-Prealbumin antibodyAnti-Tbpa antibodyAnti-TTR antibodyAnti-PALB antibody | 
Information sourced from Uniprot.org
 
 
                     
                     
                     
                       
                    

 
             
             
             
            