Anti-Prostatic Acid Phosphatase antibody (STJA0040627)

SKU:
STJA0040627-200
£485.50
Free Shipping
Processing The item has been added

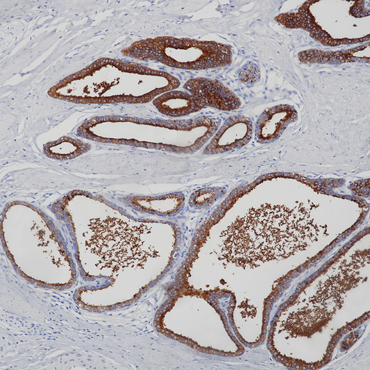
Short Description :Chicken polyclonal anti-Prostatic Acid Phosphatase for use in IHC, ICC and WB in Human, Mouse and Rat samples. Datasheet included with dilution recommendations, and related reagents.
Applications:IHC/ICC/WB
Host:Chicken
Reactivity:Human/Mouse/Rat
Note:STRICTLY FOR FURTHER SCIENTIFIC RESEARCH USE ONLY (RUO). MUST NOT TO BE USED IN DIAGNOSTIC OR THERAPEUTIC APPLICATIONS.
Clonality :Polyclonal
Isotype:IgY
Conjugation:Unconjugated
Concentration:10 mg/mL
Purification:Mixture of IgY fraction and affinity-purified antibodies
Dilution Range:WB 1:1000-1:2000
IHC 1:500-1:1000
ICC 1:500-1:1000
Formulation:Sodium phosphate (10 mM, pH 7.2) buffered isotonic saline (0.9%, w/v) , glycerol (50%, v/v) , with sodium azide (0.02%, w/v) as an anti-microbial agent.
Storage Instruction:Store at-20°C in the dark. Under these conditions, the antibodies should have a shelf life of at least twelve months, provided they remain sterile.
Gene Symbol:ACP3
Gene ID:55
Uniprot ID:PPAP_HUMAN
Immunogen:Recombinant mouse PAP expressed in Escherichia coli
Immunogen Sequence:Mouse
Post Translational Modifications N-glycosylated. High mannose content, partially sialylated and fucosylated biantennary complex. Also fucosylated with partially sialylated triantennary complex oligosaccharides. Proteolytically cleaved in seminal fluid to produce several peptides. Peptide PAPf39, the most prominent, forms amyloid beta-sheet fibrils, SEVI (semen-derived enhancer of viral infection).
Function A non-specific tyrosine phosphatase that dephosphorylates a diverse number of substrates under acidic conditions (pH 4-6) including alkyl, aryl, and acyl orthophosphate monoesters and phosphorylated proteins. Has lipid phosphatase activity and inactivates lysophosphatidic acid in seminal plasma. Isoform 2: Tyrosine phosphatase that acts as a tumor suppressor of prostate cancer through dephosphorylation of ERBB2 and deactivation of MAPK-mediated signaling. In addition to its tyrosine phosphatase activity has ecto-5'-nucleotidase activity in dorsal root ganglion (DRG) neurons. Generates adenosine from AMP which acts as a pain suppressor. PAPf39: (Microbial infection) Forms amyloid beta-sheet fibrils in semen. These fibrils, termed SEVI (semen-derived enhancer of viral infection) capture HIV virions, attach them to target cells and enhance infection. SEVI amyloid fibrils are degraded by polyphenol epigallocatechin-3-gallate (EGCG), a constituent of green tea. Target cell attachment and enhancement of HIV infection is inhibited by surfen. Also similarly boosts XMRV (xenotropic murine leukemia virus-related virus) infection.
Protein Name Prostatic Acid Phosphatase
Pap
5'-Nucleotidase
5'-Nt
Acid Phosphatase 3
Ecto-5'-Nucleotidase
Protein Tyrosine Phosphatase Acp3
Thiamine Monophosphatase
Tmpase Cleaved Into - Papf39
Database Links Reactome: R-HSA-6798695
Cellular Localisation Isoform 1: Secreted
Isoform 2: Cell Membrane
Single-Pass Type I Membrane Protein
Lysosome Membrane
Nucleus
Cytoplasm
Cytosol
Appears To Shuttle Between The Cell Membrane And Intracellular Vesicles
Colocalizes With Flot1 At Cell Membrane And In Intracellular Vesicles
Colocalizes With Lamp2 On The Lysosome Membrane
Alternative Antibody Names Anti-Prostatic Acid Phosphatase antibody
Anti-Pap antibody
Anti-5'-Nucleotidase antibody
Anti-5'-Nt antibody
Anti-Acid Phosphatase 3 antibody
Anti-Ecto-5'-Nucleotidase antibody
Anti-Protein Tyrosine Phosphatase Acp3 antibody
Anti-Thiamine Monophosphatase antibody
Anti-Tmpase Cleaved Into - Papf39 antibody
Anti-ACP3 antibody
Anti-ACPP antibody

Information sourced from Uniprot.org