| Host: | Rabbit |
| Applications: | WB/IHC/IF/IP/ELISA |
| Reactivity: | Human/Mouse/Rat |
| Note: | STRICTLY FOR FURTHER SCIENTIFIC RESEARCH USE ONLY (RUO). MUST NOT TO BE USED IN DIAGNOSTIC OR THERAPEUTIC APPLICATIONS. |
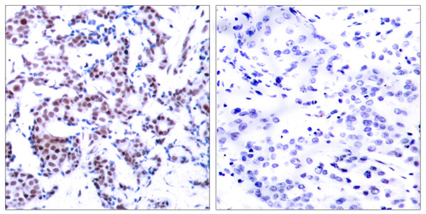
| Short Description : | Rabbit polyclonal antibody anti-Phospho-Transcription factor JunB-Ser259 (226-275 aa) is suitable for use in Western Blot, Immunohistochemistry, Immunofluorescence, Immunoprecipitation and ELISA research applications. |
| Clonality : | Polyclonal |
| Conjugation: | Unconjugated |
| Isotype: | IgG |
| Formulation: | Liquid in PBS containing 50% Glycerol, 0.5% BSA and 0.02% Sodium Azide. |
| Purification: | The antibody was affinity-purified from rabbit antiserum by affinity-chromatography using epitope-specific immunogen. |
| Concentration: | 1 mg/mL |
| Dilution Range: | WB 1:500-1:2000IHC 1:100-1:300IP 2-5 ug mg/lysateELISA 1:20000IF 1:50-200 |
| Storage Instruction: | Store at-20°C for up to 1 year from the date of receipt, and avoid repeat freeze-thaw cycles. |
| Gene Symbol: | JUNB |
| Gene ID: | 3726 |
| Uniprot ID: | JUNB_HUMAN |
| Immunogen Region: | 226-275 aa |
| Specificity: | Phospho-Jun B (S259) Polyclonal Antibody detects endogenous levels of Jun B protein only when phosphorylated at S259. |
| Immunogen: | The antiserum was produced against synthesized peptide derived from the human JunB around the phosphorylation site of Ser259 at the amino acid range 226-275 |
| Function | Transcription factor involved in regulating gene activity following the primary growth factor response. Binds to the DNA sequence 5'-TGAGCTCA-3'. Heterodimerizes with proteins of the FOS family to form an AP-1 transcription complex, thereby enhancing its DNA binding activity to an AP-1 consensus sequence and its transcriptional activity. |
| Protein Name | Transcription Factor JunbTranscription Factor Ap-1 Subunit Junb |
| Database Links | Reactome: R-HSA-2173796Reactome: R-HSA-6785807Reactome: R-HSA-9031628Reactome: R-HSA-9725371 |
| Cellular Localisation | Nucleus |
| Alternative Antibody Names | Anti-Transcription Factor Junb antibodyAnti-Transcription Factor Ap-1 Subunit Junb antibodyAnti-JUNB antibody |
Information sourced from Uniprot.org

