Anti-PD-L1 antibody [R31-1P-3] (STJA0035448)

SKU:
STJA0035448
€160.20 - €337.80
Processing The item has been added

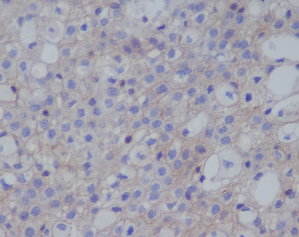
Short Description :Rabbit monoclonal anti-PD-L1 for use in WB and IHC-P in Human, Mouse and Rat samples. Datasheet included with dilution recommendations, and related reagents.
Applications:WB/IHC-P
Host:Rabbit
Reactivity:Human/Mouse/Rat
Note:STRICTLY FOR FURTHER SCIENTIFIC RESEARCH USE ONLY (RUO). MUST NOT TO BE USED IN DIAGNOSTIC OR THERAPEUTIC APPLICATIONS.
Clonality :Monoclonal
Clone ID :R31-1P-3
Isotype:IgG
Conjugation:Unconjugated
Purification:Affinity Chromatography
Dilution Range:WB 1:500-1:1000
IHC 1:100-1:200
Formulation:Liquid in PBS, pH 7.4, 150mM NaCl, 0.02% sodium azide and 50% glycerol.
Storage Instruction:Store at 4°C short term. Aliquot and store at-20°C long term. Avoid freeze/thaw cycles.
Gene Symbol:CD274
Gene ID:29126
Uniprot ID:PD1L1_HUMAN
Immunogen:A synthesized peptide derived from human PD-L1 (CD274)
Tissue Specificity Highly expressed in the heart, skeletal muscle, placenta and lung. Weakly expressed in the thymus, spleen, kidney and liver. Expressed on activated T- and B-cells, dendritic cells, keratinocytes and monocytes. Isoform 4: Widely expressed, highest in lung, liver and pituitary and in various peripheral blood cells, including neutrophils and some subtypes of lymphoid and myeloid cells.
Post Translational Modifications Ubiquitinated.STUB1 likely mediates polyubiquitination of PD-L1/CD274 triggering its degradation. Ubiquitinated by MARCHF8.leading to degradation. Deubiquitinated by USP22.leading to stabilization.
Function Plays a critical role in induction and maintenance of immune tolerance to self. As a ligand for the inhibitory receptor PDCD1/PD-1, modulates the activation threshold of T-cells and limits T-cell effector response. Through a yet unknown activating receptor, may costimulate T-cell subsets that predominantly produce interleukin-10 (IL10). Can also act as a transcription coactivator: in response to hypoxia, translocates into the nucleus via its interaction with phosphorylated STAT3 and promotes transcription of GSDMC, leading to pyroptosis. The PDCD1-mediated inhibitory pathway is exploited by tumors to attenuate anti-tumor immunity and escape destruction by the immune system, thereby facilitating tumor survival. The interaction with PDCD1/PD-1 inhibits cytotoxic T lymphocytes (CTLs) effector function. The blockage of the PDCD1-mediated pathway results in the reversal of the exhausted T-cell phenotype and the normalization of the anti-tumor response, providing a rationale for cancer immunotherapy.
Protein Name Programmed Cell Death 1 Ligand 1
Pd-L1
Pdcd1 Ligand 1
Programmed Death Ligand 1
Hpd-L1
B7 Homolog 1
B7-H1
Cd Antigen Cd274
Database Links Reactome: R-HSA-389948
Reactome: R-HSA-9701898
Cellular Localisation Cell Membrane
Single-Pass Type I Membrane Protein
Early Endosome Membrane
Recycling Endosome Membrane
Nucleus
Associates With Cmtm6 At Recycling Endosomes
Where It Is Protected From Being Targeted For Lysosomal Degradation
Translocates To The Nucleus In Response To Hypoxia Via Its Interaction With Phosphorylated Stat3
Isoform 1: Cell Membrane
Isoform 2: Endomembrane System
Isoform 4: Secreted
Alternative Antibody Names Anti-Programmed Cell Death 1 Ligand 1 antibody
Anti-Pd-L1 antibody
Anti-Pdcd1 Ligand 1 antibody
Anti-Programmed Death Ligand 1 antibody
Anti-Hpd-L1 antibody
Anti-B7 Homolog 1 antibody
Anti-B7-H1 antibody
Anti-Cd Antigen Cd274 antibody
Anti-CD274 antibody
Anti-B7H1 antibody
Anti-PDCD1L1 antibody
Anti-PDCD1LG1 antibody
Anti-PDL1 antibody

Information sourced from Uniprot.org