Anti-KDM1A antibody (130-852) (STJ118239)

SKU:
STJ118239
£110.50 - £505.50
Free Shipping
Processing The item has been added

Host: Rabbit
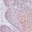
Applications: WB/IHC-P/IF/ICC/ELISA
Reactivity: Human/Mouse/Rat
Note: STRICTLY FOR FURTHER SCIENTIFIC RESEARCH USE ONLY (RUO). MUST NOT TO BE USED IN DIAGNOSTIC OR THERAPEUTIC APPLICATIONS.
Clonality : Polyclonal
Conjugation: Unconjugated
Isotype: IgG
Formulation: PBS with 0.01% Thimerosal, 50% Glycerol, pH 7.3.
Purification: Affinity purification
Concentration: Lot specific
Dilution Range: WB:1:500-1:2000
IHC-P:1:50-1:100
IF/ICC:1:50-1:100
ELISA:Recommended starting concentration is 1 Mu g/mL. Please optimize the concentration based on your specific assay requirements.
Storage Instruction: Store at-20°C for up to 1 year from the date of receipt, and avoid repeat freeze-thaw cycles.
Gene Symbol: KDM1A
Gene ID: 23028
Uniprot ID: KDM1A_HUMAN
Immunogen Region: 130-852
Specificity: Recombinant fusion protein containing a sequence corresponding to amino acids 130-380 of human KDM1 (NP_055828.2).
Immunogen Sequence: LSEDEYYSEEERNAKAEKEK KLPPPPPQAPPEEENESEPE EPSGVEGAAFQSRLPHDRMT SQEAACFPDIISGPQQTQKV FLFIRNRTLQLWLDNPKIQL TFEATLQQLEAPYNSDTVLV HRVHSYLERHGLINFGIYKR IKPLPTKKTGKVIIIGSGVS GLAAARQLQSFGMDVTLLEA RDRVGGRVATFRKGNYVADL GAMVVTGLGGNPMAVVSKQV NMELAKIKQKCPLYEANGQ
Tissue Specificity Ubiquitously expressed.
Post Translational Modifications Acetylated by KAT8 in epithelial but not in mesenchymal cells, thereby regulating the epithelial-to-mesenchymal transition. Acetylation by KAT8 reduces KDM1A association with nucleosomes, thereby decreasing histone H3 demethylation, leading to transcription activatio of target genes. Polyubiquitinated by JADE2.which leads to its proteasomal degradation. Deubiquitinated by USP38.preventing it from degradation by the 26S proteasome.
Function Histone demethylase that can demethylate both 'Lys-4' (H3K4me) and 'Lys-9' (H3K9me) of histone H3, thereby acting as a coactivator or a corepressor, depending on the context. Acts by oxidizing the substrate by FAD to generate the corresponding imine that is subsequently hydrolyzed. Acts as a corepressor by mediating demethylation of H3K4me, a specific tag for epigenetic transcriptional activation. Demethylates both mono- (H3K4me1) and di-methylated (H3K4me2) H3K4me. May play a role in the repression of neuronal genes. Alone, it is unable to demethylate H3K4me on nucleosomes and requires the presence of RCOR1/CoREST to achieve such activity. Also acts as a coactivator of androgen receptor (AR)-dependent transcription, by being recruited to AR target genes and mediating demethylation of H3K9me, a specific tag for epigenetic transcriptional repression. The presence of PRKCB in AR-containing complexes, which mediates phosphorylation of 'Thr-6' of histone H3 (H3T6ph), a specific tag that prevents demethylation H3K4me, prevents H3K4me demethylase activity of KDM1A. Demethylates di-methylated 'Lys-370' of p53/TP53 which prevents interaction of p53/TP53 with TP53BP1 and represses p53/TP53-mediated transcriptional activation. Demethylates and stabilizes the DNA methylase DNMT1. Demethylates methylated 'Lys-42' and methylated 'Lys-117' of SOX2. Required for gastrulation during embryogenesis. Component of a RCOR/GFI/KDM1A/HDAC complex that suppresses, via histone deacetylase (HDAC) recruitment, a number of genes implicated in multilineage blood cell development. Facilitates epithelial-to-mesenchymal transition by acting as an effector of SNAI1-mediated transcription repression of epithelial markers E-cadherin/CDH1, CDN7 and KRT8. Required for the maintenance of the silenced state of the SNAI1 target genes E-cadherin/CDH1 and CDN7. Required for the repression of GIPR expression.
Protein Name Lysine-Specific Histone Demethylase 1a
Braf35-Hdac Complex Protein Bhc110
Flavin-Containing Amine Oxidase Domain-Containing Protein 2
Histone H3-Dimethyl-L-Lysine(4 Fad-Dependent Demethylase 1a
Database Links Reactome: R-HSA-3214815
Reactome: R-HSA-3214842
Reactome: R-HSA-5625886
Reactome: R-HSA-8943724
Reactome: R-HSA-9018519
Reactome: R-HSA-9029569
Reactome: R-HSA-9679191
Reactome: R-HSA-983231
Cellular Localisation Nucleus
Chromosome
Associates With Chromatin
Alternative Antibody Names Anti-Lysine-Specific Histone Demethylase 1a antibody
Anti-Braf35-Hdac Complex Protein Bhc110 antibody
Anti-Flavin-Containing Amine Oxidase Domain-Containing Protein 2 antibody
Anti-Histone H3-Dimethyl-L-Lysine(4 Fad-Dependent Demethylase 1a antibody
Anti-KDM1A antibody
Anti-AOF2 antibody
Anti-KDM1 antibody
Anti-KIAA0601 antibody
Anti-LSD1 antibody

Information sourced from Uniprot.org