| Host: | Rabbit |
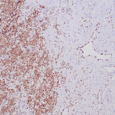
| Applications: | IHC-P |
| Reactivity: | Human |
| Note: | STRICTLY FOR FURTHER SCIENTIFIC RESEARCH USE ONLY (RUO). MUST NOT TO BE USED IN DIAGNOSTIC OR THERAPEUTIC APPLICATIONS. |
| Short Description : | Rabbit monoclonal FLI-1 (Full length) antibody for use in IHC-P in human samples. Datasheet included with dilution recommendations, and related reagents. |
| Clonality : | Monoclonal |
| Clone ID : | ZR217 |
| Conjugation: | Unconjugated |
| Isotype: | IgG |
| Formulation: | Tris-HCI buffer containing stabilizing protein (BSA) and <0.1% ProClin |
| Purification: | Affinity purified |
| Dilution Range: | 1:100-200 |
| Storage Instruction: | Store at 2‐8°C for up to 24 months. Predilute: Ready to use, no reconstitution necessary. Concentrate: Use dilution range and appropriate lab‐standardized diluent. Stability after dilution: 7 days at 24°C, 3 months at 2‐8°C, 6months at ‐20°C. |
| Gene Symbol: | FLI1 |
| Gene ID: | 2313 |
| Uniprot ID: | FLI1_HUMAN |
| Immunogen Region: | Full length |
| Specificity: | Positive Control: Ewing's sarcoma/PNET, lymphoblastic lymphoma, lymphocytes, endothelial cells, angiosarcoma, Kaposi's sarcoma |
| Immunogen: | Recombinant full-length human FLI1 protein |
| Function | Sequence-specific transcriptional activator. Recognizes the DNA sequence 5'-CCAGGAAGT-3'. |
| Protein Name | Friend Leukemia Integration 1 Transcription FactorProto-Oncogene Fli-1Transcription Factor Ergb |
| Database Links | Reactome: R-HSA-9616222 |
| Cellular Localisation | Nucleus |
| Alternative Antibody Names | Anti-Friend Leukemia Integration 1 Transcription Factor antibodyAnti-Proto-Oncogene Fli-1 antibodyAnti-Transcription Factor Ergb antibodyAnti-FLI1 antibody |
Information sourced from Uniprot.org

