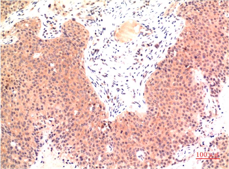
| Short Description : | Mouse monoclonal anti-epsilon Tubulin for use in IHC-P in Human, Rat and Mouse samples. Datasheet included with dilution recommendations, and related reagents. |
| Applications: | IHC-P |
| Host: | Mouse |
| Reactivity: | Human/Rat/Mouse |
| Note: | STRICTLY FOR FURTHER SCIENTIFIC RESEARCH USE ONLY (RUO). MUST NOT TO BE USED IN DIAGNOSTIC OR THERAPEUTIC APPLICATIONS. |
| Clonality : | Monoclonal |
| Clone ID : | 4C4-4H9-8C8 |
| Isotype: | IgG1 |
| Conjugation: | Unconjugated |
| Concentration: | 1 mg/mL |
| Purification: | Affinity Purified |
| Dilution Range: | IHC 1:50-1:100 |
| Formulation: | Liquid in PBS containing 50% glycerol, 0.5% BSA and 0.02% sodium azide, pH 7.3. |
| Storage Instruction: | Store at 4°C short term. Aliquot and store at-20°C long term. Avoid freeze/thaw cycles. |
| Protein Name | Tubulin Epsilon ChainEpsilon-Tubulin |
| Database Links | |
| Cellular Localisation | CytoplasmCytoskeletonMicrotubule Organizing CenterCentrosomeAssociated With Pericentriolar Material |
| Alternative Antibody Names | Anti-Tubulin Epsilon Chain antibodyAnti-Epsilon-Tubulin antibodyAnti-TUBE1 antibodyAnti-TUBE antibody |
Information sourced from Uniprot.org

