| Host: | Goat |
| Applications: | Pep-ELISA/IHC |
| Reactivity: | Human/Mouse/Rat/Dog/Pig/Cow |
| Note: | STRICTLY FOR FURTHER SCIENTIFIC RESEARCH USE ONLY (RUO). MUST NOT TO BE USED IN DIAGNOSTIC OR THERAPEUTIC APPLICATIONS. |
| Short Description : | Goat polyclonal antibody anti-DOK5 (C-Term) is suitable for use in ELISA and Immunohistochemistry research applications. |
| Clonality : | Polyclonal |
| Conjugation: | Unconjugated |
| Isotype: | IgG |
| Formulation: | 0.5 mg/ml in Tris saline, 0.02% sodium azide, pH7.3 with 0.5% bovine serum albumin. NA |
| Purification: | Purified from goat serum by ammonium sulphate precipitation followed by antigen affinity chromatography using the immunizing peptide. |
| Concentration: | 0.5 mg/mL |
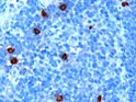
| Dilution Range: | Peptide ELISA: antibody detection limit dilution 1:16000.IHC: In paraffin embedded tonsil, stains scattered cells in the interfollicular area compatible with mast cells. Recommended concentration: 1-2µg/ml. |
| Storage Instruction: | Store at-20°C on receipt and minimise freeze-thaw cycles. |
| Gene Symbol: | DOK5 |
| Gene ID: | 55816 |
| Uniprot ID: | DOK5_HUMAN |
| Immunogen Region: | C-Term |
| Accession Number: | NP_060901.2 |
| Immunogen Sequence: | CLHRTETFPAYRSEH |
| Post Translational Modifications | Phosphorylated on tyrosine residues in response to insulin, IGF1 and GDNF. |
| Function | DOK proteins are enzymatically inert adaptor or scaffolding proteins. They provide a docking platform for the assembly of multimolecular signaling complexes. DOK5 functions in RET-mediated neurite outgrowth and plays a positive role in activation of the MAP kinase pathway. Putative link with downstream effectors of RET in neuronal differentiation. |
| Protein Name | Docking Protein 5Downstream Of Tyrosine Kinase 5Insulin Receptor Substrate 6Irs-6Irs6 |
| Database Links | Reactome: R-HSA-8853659 |
| Alternative Antibody Names | Anti-Docking Protein 5 antibodyAnti-Downstream Of Tyrosine Kinase 5 antibodyAnti-Insulin Receptor Substrate 6 antibodyAnti-Irs-6 antibodyAnti-Irs6 antibodyAnti-DOK5 antibodyAnti-C20orf180 antibody |
Information sourced from Uniprot.org

