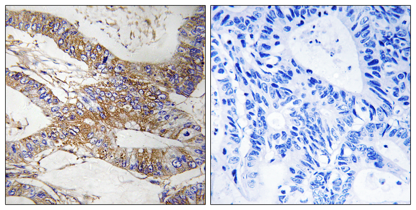
| Short Description : | Rabbit polyclonal anti-Serpin B9 (241-290 aa) for use in WB, IHC, IF and ELISA in Human, Mouse and Rat samples. Datasheet included with dilution recommendations, and related reagents. |
| Applications: | WB/IHC/IF/ELISA |
| Host: | Rabbit |
| Reactivity: | Human/Mouse/Rat |
| Note: | STRICTLY FOR FURTHER SCIENTIFIC RESEARCH USE ONLY (RUO). MUST NOT TO BE USED IN DIAGNOSTIC OR THERAPEUTIC APPLICATIONS. |
| Clonality : | Polyclonal |
| Isotype: | IgG |
| Conjugation: | Unconjugated |
| Concentration: | 1 mg/mL |
| Purification: | The antibody was affinity-purified from rabbit antiserum by affinity-chromatography using epitope-specific immunogen. |
| Dilution Range: | WB 1:500-1:2000IHC-P 1:100-300ELISA 1:20000IF 1:100-300 |
| Formulation: | Liquid in PBS containing 50% Glycerol, 0.5% BSA and 0.02% Sodium Azide. |
| Storage Instruction: | Store at-20°C for up to 1 year from the date of receipt, and avoid repeat freeze-thaw cycles. |
| Gene Symbol: | SERPINB9 |
| Gene ID: | 5272 |
| Uniprot ID: | SPB9_HUMAN |
| Immunogen: | The antiserum was produced against synthesized peptide derived from the human SERPINB9 at the amino acid range 241-290 |
| Immunogen Region: | 241-290 aa |
| Specificity: | PI-9 Polyclonal Antibody detects endogenous levels of PI-9 protein. |
| Protein Name | Serpin B9Cytoplasmic Antiproteinase 3Cap-3Cap3Peptidase Inhibitor 9Pi-9 |
| Database Links | |
| Cellular Localisation | Cytoplasm |
| Alternative Antibody Names | Anti-Serpin B9 antibodyAnti-Cytoplasmic Antiproteinase 3 antibodyAnti-Cap-3 antibodyAnti-Cap3 antibodyAnti-Peptidase Inhibitor 9 antibodyAnti-Pi-9 antibodyAnti-SERPINB9 antibodyAnti-PI9 antibody |
Information sourced from Uniprot.org

