Anti-Flk-1/Flt-4 antibody (1020-1069 aa) (STJ93091)

SKU:
STJ93091
£49.00 - £261.00
Processing The item has been added

Host: Rabbit
Applications: IHC/IF/ELISA
Reactivity: Human/Mouse/Rat
Note: STRICTLY FOR FURTHER SCIENTIFIC RESEARCH USE ONLY (RUO). MUST NOT TO BE USED IN DIAGNOSTIC OR THERAPEUTIC APPLICATIONS.
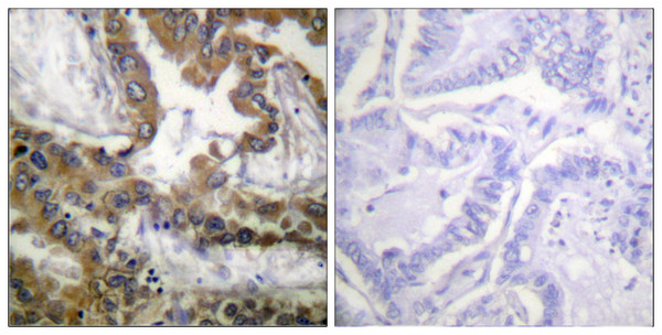
Short Description : Rabbit polyclonal anti-Vascular endothelial growth factor receptor 2 and Vascular endothelial growth factor receptor 3 (1020-1069 aa) for use in IHC, IF and ELISA in Human, Mouse and Rat samples. Datasheet included with dilution recommendations, and
Clonality : Polyclonal
Conjugation: Unconjugated
Isotype: IgG
Formulation: Liquid in PBS containing 50% Glycerol, 0.5% BSA and 0.02% Sodium Azide.
Purification: The antibody was affinity-purified from rabbit antiserum by affinity-chromatography using epitope-specific immunogen.
Concentration: 1 mg/mL
Dilution Range: IHC 1:100-1:300
IF 1:200-1:1000
ELISA 1:40000
Storage Instruction: Store at-20°C for up to 1 year from the date of receipt, and avoid repeat freeze-thaw cycles.
Gene Symbol: FLT4
KDR
Gene ID: 2324
3791
Uniprot ID: VGFR3_HUMAN
VGFR2_HUMAN
Immunogen Region: 1020-1069 aa
Specificity: Flk-1/Flt-4 Polyclonal Antibody detects endogenous levels of Flk-1/Flt-4 protein.
Immunogen: The antiserum was produced against synthesized peptide derived from the human VEGFR2 at the amino acid range 1020-1069
Post Translational Modifications N-glycosylated. Ubiquitinated. Tyrosine phosphorylation of the receptor promotes its poly-ubiquitination, leading to its degradation via the proteasome or lysosomal proteases. Autophosphorylated on tyrosine residues upon ligand binding. Autophosphorylation occurs in trans, i.e. one subunit of the dimeric receptor phosphorylates tyrosine residues on the other subunit. Phosphorylation at Tyr-951 is important for interaction with SH2D2A/TSAD and VEGFA-mediated reorganization of the actin cytoskeleton. Phosphorylation at Tyr-1175 is important for interaction with PLCG1 and SHB. Phosphorylation at Tyr-1214 is important for interaction with NCK1 and FYN. Dephosphorylated by PTPRB. Dephosphorylated by PTPRJ at Tyr-951, Tyr-996, Tyr-1054, Tyr-1059, Tyr-1175 and Tyr-1214. The inhibitory disulfide bond between Cys-1024 and Cys-1045 may serve as a specific molecular switch for H(2)S-induced modification that regulates KDR/VEGFR2 function.
Function Tyrosine-protein kinase that acts as a cell-surface receptor for VEGFA, VEGFC and VEGFD. Plays an essential role in the regulation of angiogenesis, vascular development, vascular permeability, and embryonic hematopoiesis. Promotes proliferation, survival, migration and differentiation of endothelial cells. Promotes reorganization of the actin cytoskeleton. Isoforms lacking a transmembrane domain, such as isoform 2 and isoform 3, may function as decoy receptors for VEGFA, VEGFC and/or VEGFD. Isoform 2 plays an important role as negative regulator of VEGFA- and VEGFC-mediated lymphangiogenesis by limiting the amount of free VEGFA and/or VEGFC and preventing their binding to FLT4. Modulates FLT1 and FLT4 signaling by forming heterodimers. Binding of vascular growth factors to isoform 1 leads to the activation of several signaling cascades. Activation of PLCG1 leads to the production of the cellular signaling molecules diacylglycerol and inositol 1,4,5-trisphosphate and the activation of protein kinase C. Mediates activation of MAPK1/ERK2, MAPK3/ERK1 and the MAP kinase signaling pathway, as well as of the AKT1 signaling pathway. Mediates phosphorylation of PIK3R1, the regulatory subunit of phosphatidylinositol 3-kinase, reorganization of the actin cytoskeleton and activation of PTK2/FAK1. Required for VEGFA-mediated induction of NOS2 and NOS3, leading to the production of the signaling molecule nitric oxide (NO) by endothelial cells. Phosphorylates PLCG1. Promotes phosphorylation of FYN, NCK1, NOS3, PIK3R1, PTK2/FAK1 and SRC.
Protein Name Vascular Endothelial Growth Factor Receptor 2
Vegfr-2
Fetal Liver Kinase 1
Flk-1
Kinase Insert Domain Receptor
Kdr
Protein-Tyrosine Kinase Receptor Flk-1
Cd Antigen Cd309
Database Links Reactome: R-HSA-194306
Reactome: R-HSA-195399
Reactome: R-HSA-216083
Reactome: R-HSA-4420097
Reactome: R-HSA-5218921
Reactome: R-HSA-9673768
Cellular Localisation Cell Junction
Endoplasmic Reticulum
Cell Membrane
Localized With Rap1a At Cell-Cell Junctions
Colocalizes With Ern1 And Xbp1 In The Endoplasmic Reticulum In Endothelial Cells In A Vascular Endothelial Growth Factor (Vegf)-Dependent Manner
Isoform 1: Cell Membrane
Single-Pass Type I Membrane Protein
Cytoplasm
Nucleus
Cytoplasmic Vesicle
Early Endosome
Detected On Caveolae-Enriched Lipid Rafts At The Cell Surface
Is Recycled From The Plasma Membrane To Endosomes And Back Again
Phosphorylation Triggered By Vegfa Binding Promotes Internalization And Subsequent Degradation
Vegfa Binding Triggers Internalization And Translocation To The Nucleus
Isoform 2: Secreted
Isoform 3: Secreted
Alternative Antibody Names Anti-Vascular Endothelial Growth Factor Receptor 2 antibody
Anti-Vegfr-2 antibody
Anti-Fetal Liver Kinase 1 antibody
Anti-Flk-1 antibody
Anti-Kinase Insert Domain Receptor antibody
Anti-Kdr antibody
Anti-Protein-Tyrosine Kinase Receptor Flk-1 antibody
Anti-Cd Antigen Cd309 antibody
Anti-KDR antibody
Anti-FLK1 antibody
Anti-VEGFR2 antibody

Information sourced from Uniprot.org