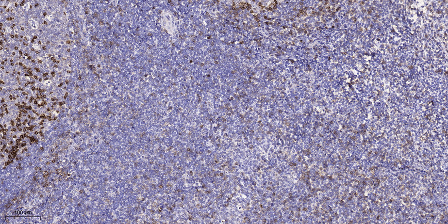
| Short Description : | Rabbit polyclonal anti-Caspase recruitment domain-containing protein 14 (291-340 aa) for use in IHC, IF and ELISA in Human and Mouse samples. Datasheet included with dilution recommendations, and related reagents. |
| Applications: | IHC/IF/ELISA |
| Host: | Rabbit |
| Reactivity: | Human/Mouse |
| Note: | STRICTLY FOR FURTHER SCIENTIFIC RESEARCH USE ONLY (RUO). MUST NOT TO BE USED IN DIAGNOSTIC OR THERAPEUTIC APPLICATIONS. |
| Clonality : | Polyclonal |
| Isotype: | IgG |
| Conjugation: | Unconjugated |
| Concentration: | 1 mg/mL |
| Purification: | The antibody was affinity-purified from rabbit antiserum by affinity-chromatography using epitope-specific immunogen. |
| Dilution Range: | IHC 1:100-1:300IF 1:200-1:1000ELISA 1:40000 |
| Formulation: | Liquid in PBS containing 50% Glycerol, 0.5% BSA and 0.02% Sodium Azide. |
| Storage Instruction: | Store at-20°C for up to 1 year from the date of receipt, and avoid repeat freeze-thaw cycles. |
| Gene Symbol: | CARD14 |
| Gene ID: | 79092 |
| Uniprot ID: | CAR14_HUMAN |
| Immunogen: | The antiserum was produced against synthesized peptide derived from the human CAR14 at the amino acid range 291-340 |
| Immunogen Region: | 291-340 aa |
| Specificity: | CARD 14 Polyclonal Antibody detects endogenous levels of CARD 14 protein. |
| Function | Acts as a scaffolding protein that can activate the inflammatory transcription factor NF-kappa-B and p38/JNK MAP kinase signaling pathways. Forms a signaling complex with BCL10 and MALT1, and activates MALT1 proteolytic activity and inflammatory gene expression. MALT1 is indispensable for CARD14-induced activation of NF-kappa-B and p38/JNK MAP kinases. May play a role in signaling mediated by TRAF2, TRAF3 and TRAF6 and protects cells against apoptosis. Isoform 3: Not able to activate the inflammatory transcription factor NF-kappa-B and may function as a dominant negative regulator. |
| Protein Name | Caspase Recruitment Domain-Containing Protein 14Card-Containing Maguk Protein 2Carma 2 |
| Database Links | |
| Cellular Localisation | Isoform 1: CytoplasmIsoform 2: CytoplasmIsoform 3: Cytoplasm |
| Alternative Antibody Names | Anti-Caspase Recruitment Domain-Containing Protein 14 antibodyAnti-Card-Containing Maguk Protein 2 antibodyAnti-Carma 2 antibodyAnti-CARD14 antibodyAnti-CARMA2 antibody |
Information sourced from Uniprot.org

