| Host: | Rabbit |
| Applications: | IF/WB/IHC/ELISA |
| Reactivity: | Human/Mouse/Rat |
| Note: | STRICTLY FOR FURTHER SCIENTIFIC RESEARCH USE ONLY (RUO). MUST NOT TO BE USED IN DIAGNOSTIC OR THERAPEUTIC APPLICATIONS. |
| Short Description : | Rabbit polyclonal anti-Phospho-Mitogen-activated protein kinase 3 and Mitogen-activated protein kinase 1-Thr202 (169-218 aa) for use in IF, WB, IHC and ELISA in Human, Mouse and Rat samples. Datasheet included with dilution recommendations, and relat |
| Clonality : | Polyclonal |
| Conjugation: | Unconjugated |
| Isotype: | IgG |
| Formulation: | Liquid in PBS containing 50% Glycerol, 0.5% BSA and 0.02% Sodium Azide. |
| Purification: | The antibody was affinity-purified from rabbit antiserum by affinity-chromatography using epitope-specific immunogen. |
| Concentration: | 1 mg/mL |
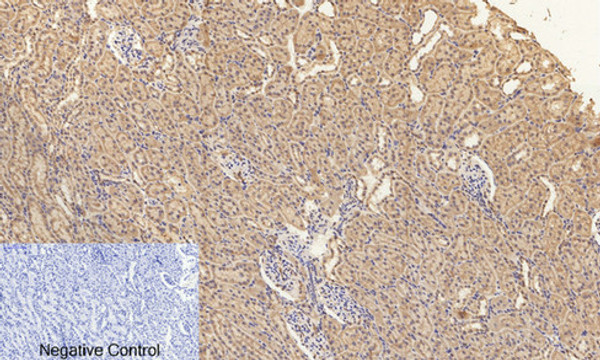
| Dilution Range: | IF 1:50-200WB 1:500-2000IHC 1:50-300IHC 1:50-300 |
| Storage Instruction: | Store at-20°C for up to 1 year from the date of receipt, and avoid repeat freeze-thaw cycles. |
| Gene Symbol: | MAPK3MAPK1 |
| Gene ID: | 55955594 |
| Uniprot ID: | MK03_HUMANMK01_HUMAN |
| Immunogen Region: | 169-218 aa |
| Specificity: | Phospho-ERK 1/2 (T202) Polyclonal Antibody detects endogenous levels of ERK 1/2 protein only when phosphorylated at T202. |
| Immunogen: | The antiserum was produced against synthesized peptide derived from the human p44/42 MAP Kinase around the phosphorylation site of Thr202 at the amino acid range 169-218 |
| Function | Serine/threonine kinase which acts as an essential component of the MAP kinase signal transduction pathway. MAPK1/ERK2 and MAPK3/ERK1 are the 2 MAPKs which play an important role in the MAPK/ERK cascade. They participate also in a signaling cascade initiated by activated KIT and KITLG/SCF. Depending on the cellular context, the MAPK/ERK cascade mediates diverse biological functions such as cell growth, adhesion, survival and differentiation through the regulation of transcription, translation, cytoskeletal rearrangements. The MAPK/ERK cascade plays also a role in initiation and regulation of meiosis, mitosis, and postmitotic functions in differentiated cells by phosphorylating a number of transcription factors. About 160 substrates have already been discovered for ERKs. Many of these substrates are localized in the nucleus, and seem to participate in the regulation of transcription upon stimulation. However, other substrates are found in the cytosol as well as in other cellular organelles, and those are responsible for processes such as translation, mitosis and apoptosis. Moreover, the MAPK/ERK cascade is also involved in the regulation of the endosomal dynamics, including lysosome processing and endosome cycling through the perinuclear recycling compartment (PNRC).as well as in the fragmentation of the Golgi apparatus during mitosis. The substrates include transcription factors (such as ATF2, BCL6, ELK1, ERF, FOS, HSF4 or SPZ1), cytoskeletal elements (such as CANX, CTTN, GJA1, MAP2, MAPT, PXN, SORBS3 or STMN1), regulators of apoptosis (such as BAD, BTG2, CASP9, DAPK1, IER3, MCL1 or PPARG), regulators of translation (such as EIF4EBP1) and a variety of other signaling-related molecules (like ARHGEF2, FRS2 or GRB10). Protein kinases (such as RAF1, RPS6KA1/RSK1, RPS6KA3/RSK2, RPS6KA2/RSK3, RPS6KA6/RSK4, SYK, MKNK1/MNK1, MKNK2/MNK2, RPS6KA5/MSK1, RPS6KA4/MSK2, MAPKAPK3 or MAPKAPK5) and phosphatases (such as DUSP1, DUSP4, DUSP6 or DUSP16) are other substrates which enable the propagation the MAPK/ERK signal to additional cytosolic and nuclear targets, thereby extending the specificity of the cascade. |
| Protein Name | Mitogen-Activated Protein Kinase 3Map Kinase 3Mapk 3Ert2Extracellular Signal-Regulated Kinase 1Erk-1Insulin-Stimulated Map2 KinaseMap Kinase Isoform P44P44-MapkMicrotubule-Associated Protein 2 KinaseP44-Erk1 |
| Database Links | Reactome: R-HSA-110056Reactome: R-HSA-112409Reactome: R-HSA-1169408Reactome: R-HSA-1295596Reactome: R-HSA-162658 P27361-3Reactome: R-HSA-170968Reactome: R-HSA-198753Reactome: R-HSA-202670Reactome: R-HSA-2029482Reactome: R-HSA-2559580Reactome: R-HSA-2559582Reactome: R-HSA-2559585Reactome: R-HSA-2871796Reactome: R-HSA-3371453Reactome: R-HSA-375165Reactome: R-HSA-444257Reactome: R-HSA-445144Reactome: R-HSA-450341Reactome: R-HSA-456926Reactome: R-HSA-5654726Reactome: R-HSA-5654727Reactome: R-HSA-5654732Reactome: R-HSA-5654733Reactome: R-HSA-5663213Reactome: R-HSA-5668599Reactome: R-HSA-5673001Reactome: R-HSA-5674135Reactome: R-HSA-5674499Reactome: R-HSA-5675221Reactome: R-HSA-6802946Reactome: R-HSA-6802948Reactome: R-HSA-6802952Reactome: R-HSA-6802955Reactome: R-HSA-6811558Reactome: R-HSA-73728Reactome: R-HSA-74749Reactome: R-HSA-879415Reactome: R-HSA-881907Reactome: R-HSA-8939211Reactome: R-HSA-8940973Reactome: R-HSA-8943724Reactome: R-HSA-9627069Reactome: R-HSA-9634638Reactome: R-HSA-9635465Reactome: R-HSA-9649948Reactome: R-HSA-9652169Reactome: R-HSA-9656223Reactome: R-HSA-9664422Reactome: R-HSA-982772 |
| Cellular Localisation | CytoplasmNucleusMembraneCaveolaAutophosphorylation At Thr-207 Promotes Nuclear Localization |
| Alternative Antibody Names | Anti-Mitogen-Activated Protein Kinase 3 antibodyAnti-Map Kinase 3 antibodyAnti-Mapk 3 antibodyAnti-Ert2 antibodyAnti-Extracellular Signal-Regulated Kinase 1 antibodyAnti-Erk-1 antibodyAnti-Insulin-Stimulated Map2 Kinase antibodyAnti-Map Kinase Isoform P44 antibodyAnti-P44-Mapk antibodyAnti-Microtubule-Associated Protein 2 Kinase antibodyAnti-P44-Erk1 antibodyAnti-MAPK3 antibodyAnti-ERK1 antibodyAnti-PRKM3 antibody |
Information sourced from Uniprot.org

