| Host: | Mouse |
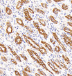
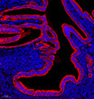
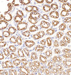
| Applications: | WB/IHC/IF |
| Reactivity: | Human/Mouse/Rat |
| Note: | STRICTLY FOR FURTHER SCIENTIFIC RESEARCH USE ONLY (RUO). MUST NOT TO BE USED IN DIAGNOSTIC OR THERAPEUTIC APPLICATIONS. |
| Short Description : | Mouse monoclonal anti-Cytokeratin 7 for use in WB, IHC and IF in Human, Mouse and Rat samples. Datasheet included with dilution recommendations, and related reagents. |
| Clonality : | Monoclonal |
| Clone ID : | SM0465 |
| Conjugation: | Unconjugated |
| Isotype: | IgG2ak |
| Formulation: | PBS with 0.02% sodium azide, 100 Mu g/ml BSA and 50% glycerol. |
| Purification: | Affinity purification |
| Dilution Range: | WB (H, M, R) 1:500-1:1000IHC/IF (H, M, R) 1:500-1:1000/1:100-1:500 |
| Storage Instruction: | Store at-20C for up to one year, and avoid repeated freeze-thaw cycles. |
| Gene Symbol: | Krt7 |
| Gene ID: | 110310 |
| Uniprot ID: | K2C7_MOUSE |
| Immunogen: | Recombinant protein corresponding to Mouse Cytokeratin 7 |
| Post Translational Modifications | Arg-15 is dimethylated, probably to asymmetric dimethylarginine. |
| Function | Blocks interferon-dependent interphase and stimulates DNA synthesis in cells. |
| Protein Name | Keratin - Type Ii Cytoskeletal 7Cytokeratin-7Ck-7Keratin-7K7Type-Ii Keratin Kb7 |
| Database Links | Reactome: R-MMU-6805567Reactome: -MMU-6809371 |
| Cellular Localisation | |
| Alternative Antibody Names | Anti-Keratin - Type Ii Cytoskeletal 7 antibodyAnti-Cytokeratin-7 antibodyAnti-Ck-7 antibodyAnti-Keratin-7 antibodyAnti-K7 antibodyAnti-Type-Ii Keratin Kb7 antibodyAnti-Krt7 antibodyAnti-Krt2-7 antibody |
Information sourced from Uniprot.org

